[画像メモ]デスモイドについて 2011-03-08
2011/03/08 22:00:48
![]()
↑
「世界一になる理由には何があるのか。2位じゃダメなんでしょうか?」
(゜Д゜)ハァ?
にほんブログ村
2011-03-08
[画像メモ]デスモイドについて 2011-03-08
[詳細は「タカ派の画像診断医」へ)
↑
はてなダイアリーへ
★ 「タカ派の画像診断医」の限定公開制について
↑
閲覧登録はこちらへ
只今の登録人数:46人
以下は登録しなくても見ることが可能です。
★ タカ派の画像診断医(ホームページ)
★ 学会・研究会カレンダー(画像診断関連)
★ リンク集
[画像診断]マンモグラフィ画像の合格基準について 2011-03-07
2011/03/07 21:58:22
![]()
↑
「世界一になる理由には何があるのか。2位じゃダメなんでしょうか?」
(゜Д゜)ハァ?
にほんブログ村
2011-03-07
[画像診断]マンモグラフィ画像の合格基準について 2011-03-07
[詳細は「タカ派の画像診断医」へ)
↑
はてなダイアリーへ
★ 「タカ派の画像診断医」の限定公開制について
↑
閲覧登録はこちらへ
只今の登録人数:46人
以下は登録しなくても見ることが可能です。
★ タカ派の画像診断医(ホームページ)
★ 学会・研究会カレンダー(画像診断関連)
★ リンク集
[歴史・地理]3月初旬の主な出来事 2011-03-06
2011/03/06 18:44:53
![]()
↑
「世界一になる理由には何があるのか。2位じゃダメなんでしょうか?」
(゜Д゜)ハァ?
にほんブログ村
2011-03-06
[歴史・地理]3月初旬の主な出来事 2011-03-06
[詳細は「タカ派の画像診断医」へ)
↑
はてなダイアリーへ
★ 「タカ派の画像診断医」の限定公開制について
↑
閲覧登録はこちらへ
只今の登録人数:46人
以下は登録しなくても見ることが可能です。
★ タカ派の画像診断医(ホームページ)
★ 学会・研究会カレンダー(画像診断関連)
★ リンク集
[時事]最近のつぶやきから(捕鯨、皇室、民主党、ODA、入試、氣志團など) 2011-03-05
2011/03/05 23:39:30
![]()
↑
「世界一になる理由には何があるのか。2位じゃダメなんでしょうか?」
(゜Д゜)ハァ?
にほんブログ村
2011-03-05
[時事]最近のつぶやきから(捕鯨、皇室、民主党、ODA、入試、氣志團など) 2011-03-05
[詳細は「タカ派の画像診断医」へ)
↑
はてなダイアリーへ
★ 「タカ派の画像診断医」の限定公開制について
↑
閲覧登録はこちらへ
只今の登録人数:46人
以下は登録しなくても見ることが可能です。
★ タカ派の画像診断医(ホームページ)
★ 学会・研究会カレンダー(画像診断関連)
★ リンク集
最近のつぶやきから(捕鯨、皇室、民主党、ODA、入試、氣志團など)
徹底捜査ができるのか? 豪政府の良心を見せてくれ! → 豪捜査当局がシーシェパード抗議船を強制捜査か 「8人の捜査官が乗船している」 - MSN産経ニュース http://t.co/w7LIqPw
「皇室典範改正は二の次でよい。防衛を含め、今すべきことはたくさんある」という意見を聞いた。彼とは9分9厘意見が一致している。最悪の事態を想定せず、国体が消失する危機にあると考えていない者は、危機感が少なすぎる。
もう、解散、総選挙しかないでしょう。【民主崩壊】「ポスト菅」最右翼・前原がいきなり窮地 かねて指摘された北とのつながり 外交ゆるがす危機 - MSN産経ニュース http://bit.ly/h6vzlU
「大使」という名の「支那の手先」 【主張】対中ODA 全面的打ち切りが当然だ - MSN産経ニュース http://bit.ly/gBIJXo
こんな事が上手くいくと思ったのだろうか? <入試ネット投稿>携帯契約者の子は京大受験生(毎日新聞)- Y!ニュース http://bit.ly/gXCQZD
今日は、ここ数年間で一番と言って良いほど濃密でした。限度を超えている。こんな日がもし毎日続けば、倒れるかもです。何かがおかしい…?
逆に問いたいが、広島・長崎でアウシュビッツ以上のジェノサイドを行ったアメリカ軍の格好をしても、同様に批判されるのだろうか?→「氣志團、ナチス似衣装を謝罪」 http://yj.pn/NelNb6 #yjfc_j_rock_and_pops (J-POP)
[画像メモ]ビスフォスフォネート(BP)製剤関連顎骨壊死について 2011-03-04
2011/03/04 23:07:25
![]()
↑
「世界一になる理由には何があるのか。2位じゃダメなんでしょうか?」
(゜Д゜)ハァ?
にほんブログ村
2011-03-04
[画像メモ]ビスフォスフォネート(BP)製剤関連顎骨壊死について 2011-03-04
[詳細は「タカ派の画像診断医」へ)
↑
はてなダイアリーへ
★ 「タカ派の画像診断医」の限定公開制について
↑
閲覧登録はこちらへ
只今の登録人数:46人
以下は登録しなくても見ることが可能です。
★ タカ派の画像診断医(ホームページ)
★ 学会・研究会カレンダー(画像診断関連)
★ リンク集
[画像メモ]肺の類上皮血管内皮腫について 2011-03-03
2011/03/03 21:23:03
![]()
↑
「世界一になる理由には何があるのか。2位じゃダメなんでしょうか?」
(゜Д゜)ハァ?
にほんブログ村
2011-03-03
[画像メモ]肺の類上皮血管内皮腫について 2011-03-03
[詳細は「タカ派の画像診断医」へ)
↑
はてなダイアリーへ
★ 「タカ派の画像診断医」の限定公開制について
↑
閲覧登録はこちらへ
只今の登録人数:46人
以下は登録しなくても見ることが可能です。
★ タカ派の画像診断医(ホームページ)
★ 学会・研究会カレンダー(画像診断関連)
★ リンク集
■[画像メモ]肺の類上皮血管内皮腫について
肺の類上皮血管内皮腫
・血管内皮細胞由来の低悪性度の血管肉腫。
・8割が女性、年齢は40歳前後。
・多発性結節。
・明瞭、不明瞭いずれもある。
・石灰化もありうる。
・以前は血管内気管支肺胞上皮腫瘍(IVBAT)と呼ばれていた。
参考;ここが鑑別ポイント P256
フレイザー日本語 P431
さて、またまた例の
Weekly Chest Cases
http://kstr.radiology.or.kr/weekly/index2.php
No.691
であるが、
解答は「類上皮血管内皮腫」であった。
一方、この画像を最初に見た場合、殆どの者が「多発性肺転移」と診断するであろう。
[画像診断]頭蓋冠の巨細胞修復性肉芽腫について 2011-03-02
2011/03/02 23:40:09
![]()
↑
「世界一になる理由には何があるのか。2位じゃダメなんでしょうか?」
(゜Д゜)ハァ?
にほんブログ村
2011-03-02
[画像診断]頭蓋冠の巨細胞修復性肉芽腫について 2011-03-02
[詳細は「タカ派の画像診断医」へ)
↑
はてなダイアリーへ
★ 「タカ派の画像診断医」の限定公開制について
↑
閲覧登録はこちらへ
只今の登録人数:46人
以下は登録しなくても見ることが可能です。
★ タカ派の画像診断医(ホームページ)
★ 学会・研究会カレンダー(画像診断関連)
★ リンク集
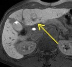
[画像診断]第17回肝血流動態イメージ研究会 Gd-EOB造影肝細胞相で集積増加するHCCについて 2011-03-01
2011/03/01 23:08:51
![]()
↑
「世界一になる理由には何があるのか。2位じゃダメなんでしょうか?」
(゜Д゜)ハァ?
にほんブログ村
2011-03-01
[画像診断]第17回肝血流動態イメージ研究会 Gd-EOB造影肝細胞相で集積増加するHCCについて 2011-03-01
[詳細は「タカ派の画像診断医」へ)
↑
はてなダイアリーへ
★ 「タカ派の画像診断医」の限定公開制について
↑
閲覧登録はこちらへ
只今の登録人数:46人
以下は登録しなくても見ることが可能です。
★ タカ派の画像診断医(ホームページ)
★ 学会・研究会カレンダー(画像診断関連)
★ リンク集
[画像診断]副甲状腺腺腫の存在診断、局在診断について(US, CT, MRI, RIの対比) 2011-02-28
2011/02/28 22:14:01
![]()
↑
「世界一になる理由には何があるのか。2位じゃダメなんでしょうか?」
(゜Д゜)ハァ?
にほんブログ村
2011-02-28
[画像診断]副甲状腺腺腫の存在診断、局在診断について(US, CT, MRI, RIの対比) 2011-02-28
[詳細は「タカ派の画像診断医」へ)
↑
はてなダイアリーへ
★ 「タカ派の画像診断医」の限定公開制について
↑
閲覧登録はこちらへ
只今の登録人数:46人
以下は登録しなくても見ることが可能です。
★ タカ派の画像診断医(ホームページ)
★ 学会・研究会カレンダー(画像診断関連)
★ リンク集
[時事]最近のつぶやきから(靖国神社、クロマグロ漁妨害、政治、など)2011-02-27
2011/02/27 21:36:49
![]()
↑
「世界一になる理由には何があるのか。2位じゃダメなんでしょうか?」
(゜Д゜)ハァ?
にほんブログ村
2011-02-27
[時事]最近のつぶやきから(靖国神社、クロマグロ漁妨害、政治、など)2011-02-27
[詳細は「タカ派の画像診断医」へ)
↑
はてなダイアリーへ
★ 「タカ派の画像診断医」の限定公開制について
↑
閲覧登録はこちらへ
只今の登録人数:46人
以下は登録しなくても見ることが可能です。
★ タカ派の画像診断医(ホームページ)
★ 学会・研究会カレンダー(画像診断関連)
★ リンク集
■[時事]最近のつぶやきから(靖国神社、クロマグロ漁妨害、政治、など)
最近のつぶやきから(靖国神社、クロマグロ漁妨害、政治、など)
酔い覚めの水は甘露の味
靖国神社参拝。いつ来ても心洗われます。
法整備を急げ。一刻の猶予もないぞ。 「5月に戻る」シー・シェパード代表、日本向けクロマグロ漁に過激な妨害を予告 - MSN産経ニュース http://t.co/rucvIc7
ヨサノ氏、終わったな・・・ 「正直で立派」…与謝野氏、子ども手当の首相「びっくり」発言擁護 - MSN産経ニュース http://t.co/bpmEyVX
「bit.lyは」リビアのドメインだったのか。 リビアのインターネットとbit.ly http://t.co/GR0EjQw
こっちがビックリしたぞ → 子ども手当 首相「2万6千円と聞きびっくりした」 http://tinyurl.com/46mhm5o
鬼畜米国のご都合主義 → 米政権、対リビア圧力強める 国際社会“調整役”で指導力発揮 http://tinyurl.com/4c4fae9
臨検は難しいのか? 大阪、昨年の児童虐待1千件超 過去最悪、死亡7人 http://tinyurl.com/4mbtvq9
幸福の科学総裁を妻が提訴「宗教行為で名誉棄損」 http://tinyurl.com/4q428j5
かわいそうに。出来ないのなら最初から言うべきではない。 専用機同乗めぐり曲折 富山市長が批判 http://www.47news.jp/CN/201102/CN2011022301000327.html
大暴動に発展か? 「生きていけない。明かり、コメよこせ」北朝鮮各地で騒動発生 韓国紙 - MSN産経ニュース http://t.co/Qv3Q7pC
何だそりゃ? ではあなたの存在は、国益に沿わない! 枝野氏、「竹島不法占拠」言及は「国益沿わない」と、日本の立場表明を拒否 - MSN産経ニュース http://t.co/x8qge5i
住めば都。★白人が★世界一住みやすい都市はバンクーバー、大阪12位=調査http://bit.ly/e8dYc5
母は鬼畜だが、需要がある方も狂っている。 32歳母が4歳娘の裸写真販売 http://bit.ly/egFKdr #yjfc_child_pornography
こんな報道ってあり? 肺がん疑い 4カ月検査せず '11/2/19 http://bit.ly/gHz3xV

