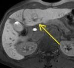
[画像診断]第17回肝血流動態イメージ研究会 Gd-EOB造影肝細胞相で集積増加するHCCについて 2011-03-01
admin≫
2011/03/01 23:08:51
2011/03/01 23:08:51
![]()
↑
「世界一になる理由には何があるのか。2位じゃダメなんでしょうか?」
(゜Д゜)ハァ?
にほんブログ村
2011-03-01
[画像診断]第17回肝血流動態イメージ研究会 Gd-EOB造影肝細胞相で集積増加するHCCについて 2011-03-01
[詳細は「タカ派の画像診断医」へ)
↑
はてなダイアリーへ
★ 「タカ派の画像診断医」の限定公開制について
↑
閲覧登録はこちらへ
只今の登録人数:46人
以下は登録しなくても見ることが可能です。
★ タカ派の画像診断医(ホームページ)
★ 学会・研究会カレンダー(画像診断関連)
★ リンク集
PR
この記事へのトラックバック
この記事のトラックバックURL

