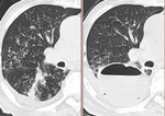
[画像メモ]<画像診断2010臨時増刊号 基本をおさえる!胸部画像> s164 肺水腫 (酒井文和先生著) の項目に対する意見 ~日本語力の問題について~ 2011-04-21
2011/04/21 23:04:09
![]()
↑
「世界一になる理由には何があるのか。2位じゃダメなんでしょうか?」
(゜Д゜)ハァ?
R4「皆様、余震に充分な備えをお願いします。落下物におきをつけください」
→「仕分けで予算削ったくせに・・・。落下物とか何を今更。落選の心配でもしてろ」
にほんブログ村
2011-04-21
[画像メモ]<画像診断2010臨時増刊号 基本をおさえる!胸部画像> s164 肺水腫 (酒井文和先生著) の項目に対する意見 ~日本語力の問題について~ 2011-04-21
[詳細は「タカ派の画像診断医」へ)
↑
はてなダイアリーへ
★ 「タカ派の画像診断医」の限定公開制について
↑
閲覧登録はこちらへ
只今の登録人数:49人
以下は登録しなくても見ることが可能です。
★ タカ派の画像診断医(ホームページ)
★ 学会・研究会カレンダー(画像診断関連)
★ リンク集
[画像メモ]社会人としてのマナーが欠落している医師への対応について 2011-04-20
2011/04/20 23:50:44
![]()
↑
「世界一になる理由には何があるのか。2位じゃダメなんでしょうか?」
(゜Д゜)ハァ?
R4「皆様、余震に充分な備えをお願いします。落下物におきをつけください」
→「仕分けで予算削ったくせに・・・。落下物とか何を今更。落選の心配でもしてろ」
にほんブログ村
2011-04-20
[画像メモ]社会人としてのマナーが欠落している医師への対応について 2011-04-20
[詳細は「タカ派の画像診断医」へ)
↑
はてなダイアリーへ
★ 「タカ派の画像診断医」の限定公開制について
↑
閲覧登録はこちらへ
只今の登録人数:49人
以下は登録しなくても見ることが可能です。
★ タカ派の画像診断医(ホームページ)
★ 学会・研究会カレンダー(画像診断関連)
★ リンク集
[Weekly Chest Cases]肺カルチノイド、CT所見について 2011-04-19
2011/04/19 23:52:44
![]()
↑
「世界一になる理由には何があるのか。2位じゃダメなんでしょうか?」
(゜Д゜)ハァ?
R4「皆様、余震に充分な備えをお願いします。落下物におきをつけください」
→「仕分けで予算削ったくせに・・・。落下物とか何を今更。落選の心配でもしてろ」
にほんブログ村
2011-04-19
[Weekly Chest Cases]肺カルチノイド、CT所見について 2011-04-19
[詳細は「タカ派の画像診断医」へ)
↑
はてなダイアリーへ
★ 「タカ派の画像診断医」の限定公開制について
↑
閲覧登録はこちらへ
只今の登録人数:49人
以下は登録しなくても見ることが可能です。
★ タカ派の画像診断医(ホームページ)
★ 学会・研究会カレンダー(画像診断関連)
★ リンク集
[画像診断]膝窩嚢胞(Baker's cyst)の破裂、MRI所見について 2011-04-18
2011/04/18 22:01:34
![]()
↑
「世界一になる理由には何があるのか。2位じゃダメなんでしょうか?」
(゜Д゜)ハァ?
R4「皆様、余震に充分な備えをお願いします。落下物におきをつけください」
→「仕分けで予算削ったくせに・・・。落下物とか何を今更。落選の心配でもしてろ」
にほんブログ村
2011-04-18
[画像診断]膝窩嚢胞(Baker's cyst)の破裂、MRI所見について 2011-04-18
[詳細は「タカ派の画像診断医」へ)
↑
はてなダイアリーへ
★ 「タカ派の画像診断医」の限定公開制について
↑
閲覧登録はこちらへ
只今の登録人数:49人
以下は登録しなくても見ることが可能です。
★ タカ派の画像診断医(ホームページ)
★ 学会・研究会カレンダー(画像診断関連)
★ リンク集
[時事]最近のつぶやきから(地震、政治関連など) 2011-04-17
2011/04/17 11:51:39
![]()
↑
「世界一になる理由には何があるのか。2位じゃダメなんでしょうか?」
(゜Д゜)ハァ?
R4「皆様、余震に充分な備えをお願いします。落下物におきをつけください」
→「仕分けで予算削ったくせに・・・。落下物とか何を今更。落選の心配でもしてろ」
にほんブログ村
2011-04-17
[時事]最近のつぶやきから(地震、政治関連など) 2011-04-17
[詳細は「タカ派の画像診断医」へ)
↑
はてなダイアリーへ
★ 「タカ派の画像診断医」の限定公開制について
↑
閲覧登録はこちらへ
只今の登録人数:49人
以下は登録しなくても見ることが可能です。
★ タカ派の画像診断医(ホームページ)
★ 学会・研究会カレンダー(画像診断関連)
★ リンク集
最近のつぶやきから(地震、政治関連など)
私はあなたを疑問視している!→【東日本大震災】蓮舫氏、都議会・民主の自販機節電「権力で要請…国民はどう考える」疑問視 - MSN産経ニュース http://t.co/Gxew7TH
リツイート
宮内庁はもっと皇太子殿下をサポートするべきだと思う。今、皇太子殿下の存在感をアピールしなければ次代の天皇家が揺らぐ。むしろ英王室のロイヤルウェディングにご列席頂いたて各国にお礼を述べて頂いた方が良かったかもしれない。
【東日本大震災】両陛下が初めて被災地お見舞い 「怖かったでしょう」「大丈夫ですか」 - MSN産経ニュース http://t.co/Us1msH5
「両陛下が被災地を初訪問」 http://yj.pn/yswJZk #yjfc_imperial_family (皇室関連情報)
あなたが一番の悪玉だ → 「蓮舫氏、自販機悪玉論に反論」 http://yj.pn/6x7z2l #yjfc_setsuden (節電の取り組み)
悪く言えば雲泥の差 【ニッポン病院の実力】関節リウマチは“十人十色”チーム医療できめ細かいケア - 政治・社会 - ZAKZAK http://t.co/em4W573 via @zakdesk
今こそ日本の野菜を買うのだ。中共の毒入り野菜は要らないぞ。【放射能漏れ】風評に負けない! 福島、茨城などの安全野菜をネット通販 - MSN産経ニュース http://t.co/nK3VpGu
やっとみんなわかってくれましたか【統一選】衆院選なら自民優勢 民主離れが浮き彫り - MSN産経ニュース http://t.co/qL79mDl
捏造と粛清の国、ロシア →「露 墜落事故の碑文勝手に交換」 http://yj.pn/GUhVnL #yjfc_russia (ロシア)
国民の権利としての投票に、義務感をもって、行って参りました。 http://bit.ly/ePdzj5
ま、無難なところか【NHK 開票速報】東京都知事 | 2011 統一地方選 http://t.co/cFIRnIo
今更ながら、首相不適格!【東日本大震災】「今ごろ来ても」 首相初視察に地元複雑 - MSN産経ニュース http://t.co/YULzsJq
[画像診断]変形性関節症について【研修医と学ぶ】 2011-04-15
2011/04/15 22:18:25
![]()
↑
「世界一になる理由には何があるのか。2位じゃダメなんでしょうか?」
(゜Д゜)ハァ?
R4「皆様、余震に充分な備えをお願いします。落下物におきをつけください」
→「仕分けで予算削ったくせに・・・。落下物とか何を今更。落選の心配でもしてろ」
にほんブログ村
2011-04-15
[画像診断]変形性関節症について【研修医と学ぶ】 2011-04-15
[詳細は「タカ派の画像診断医」へ)
↑
はてなダイアリーへ
★ 「タカ派の画像診断医」の限定公開制について
↑
閲覧登録はこちらへ
只今の登録人数:49人
以下は登録しなくても見ることが可能です。
★ タカ派の画像診断医(ホームページ)
★ 学会・研究会カレンダー(画像診断関連)
★ リンク集
[画像診断]足根管症候群、足根洞症候群、MRI所見について 2011-04-14
2011/04/14 23:49:06
![]()
↑
「世界一になる理由には何があるのか。2位じゃダメなんでしょうか?」
(゜Д゜)ハァ?
R4「皆様、余震に充分な備えをお願いします。落下物におきをつけください」
→「仕分けで予算削ったくせに・・・。落下物とか何を今更。落選の心配でもしてろ」
にほんブログ村
2011-04-14
[画像診断]足根管症候群、足根洞症候群、MRI所見について 2011-04-14
[詳細は「タカ派の画像診断医」へ)
↑
はてなダイアリーへ
★ 「タカ派の画像診断医」の限定公開制について
↑
閲覧登録はこちらへ
只今の登録人数:49人
以下は登録しなくても見ることが可能です。
★ タカ派の画像診断医(ホームページ)
★ 学会・研究会カレンダー(画像診断関連)
★ リンク集
・足根管;足関節内側、内果後面・踵骨・屈筋支帯・母趾外転筋に挟まれる。
・足根管症候群;後脛骨神経の絞扼による足の痺れや知覚異常、原因は炎症、腫瘍、外傷
・足根洞;距骨溝と踵骨溝の凹部にできた空間、足部外側へ開口
・足根洞症候群;内部の脂肪組織や滑膜の炎症、骨間距踵靭帯の損傷で発生
・足根管症候群も足根洞症候群も、大部分の原因は外傷
<MRI>
足根管症候群;後脛骨神経を絞扼する原因疾患の同定、特に腫瘍
・ガングリオンのような腫瘍性病変は外傷歴のない足根管症候群の原因として高頻度。
・載距突起過形成
足根洞症候群;足根洞内の脂肪組織変性・炎症、骨間距踵靭帯損傷の評価
<鑑別診断>
・距踵関節癒合症
・後脛骨筋腱機能不全症
・第5中足骨近位骨端の剥離骨折(ゲタ骨折)
参考;勘ドコロ P169
症例は、ガングリオンによる足根管症候群の一例。
[画像診断]ニューマトシ-ルについて(pneumatocele) 2011-04-13
2011/04/13 22:39:57
![]()
↑
「世界一になる理由には何があるのか。2位じゃダメなんでしょうか?」
(゜Д゜)ハァ?
R4「皆様、余震に充分な備えをお願いします。落下物におきをつけください」
→「仕分けで予算削ったくせに・・・。落下物とか何を今更。落選の心配でもしてろ」
にほんブログ村
2011-04-13
[画像診断]ニューマトシ-ルについて(pneumatocele) 2011-04-13
[詳細は「タカ派の画像診断医」へ)
↑
はてなダイアリーへ
★ 「タカ派の画像診断医」の限定公開制について
↑
閲覧登録はこちらへ
只今の登録人数:49人
以下は登録しなくても見ることが可能です。
★ タカ派の画像診断医(ホームページ)
★ 学会・研究会カレンダー(画像診断関連)
★ リンク集
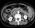
[画像診断]胆嚢捻転症、CT所見について 2011-04-12
2011/04/12 22:41:25
![]()
↑
「世界一になる理由には何があるのか。2位じゃダメなんでしょうか?」
(゜Д゜)ハァ?
R4「皆様、余震に充分な備えをお願いします。落下物におきをつけください」
→「仕分けで予算削ったくせに・・・。落下物とか何を今更。落選の心配でもしてろ」
にほんブログ村
2011-04-12
[画像診断]胆嚢捻転症、CT所見について 2011-04-12
[詳細は「タカ派の画像診断医」へ)
↑
はてなダイアリーへ
★ 「タカ派の画像診断医」の限定公開制について
↑
閲覧登録はこちらへ
只今の登録人数:49人
以下は登録しなくても見ることが可能です。
★ タカ派の画像診断医(ホームページ)
★ 学会・研究会カレンダー(画像診断関連)
★ リンク集
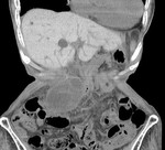
[画像診断]Henoch-Schonlein紫斑病の消化管病変、CT所見について 2011-04-11
2011/04/11 22:22:24
![]()
↑
「世界一になる理由には何があるのか。2位じゃダメなんでしょうか?」
(゜Д゜)ハァ?
R4「皆様、余震に充分な備えをお願いします。落下物におきをつけください」
→「仕分けで予算削ったくせに・・・。落下物とか何を今更。落選の心配でもしてろ」
にほんブログ村
2011-04-11
[画像診断]Henoch-Schonlein紫斑病の消化管病変、CT所見について 2011-04-11
[詳細は「タカ派の画像診断医」へ)
↑
はてなダイアリーへ
★ 「タカ派の画像診断医」の限定公開制について
↑
閲覧登録はこちらへ
只今の登録人数:49人
以下は登録しなくても見ることが可能です。
★ タカ派の画像診断医(ホームページ)
★ 学会・研究会カレンダー(画像診断関連)
★ リンク集

