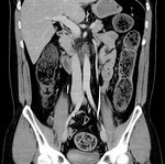
[画像診断]閉塞性大腸炎について(宿便が原因である可能性) 2011-05-12
admin≫
2011/05/12 22:24:59
2011/05/12 22:24:59
この度の東北関東大震災にて被災された地域の皆様,関係の皆様に心よりお見舞い申しあげます.
![]()
↑
「世界一になる理由には何があるのか。2位じゃダメなんでしょうか?」
(゜Д゜)ハァ?
R4「皆様、余震に充分な備えをお願いします。落下物におきをつけください」
→「仕分けで予算削ったくせに・・・。落下物とか何を今更。落選の心配でもしてろ」
にほんブログ村
2011-05-12
[画像診断]閉塞性大腸炎について(宿便が原因である可能性) 2011-05-12
[詳細は「タカ派の画像診断医」へ)
↑
はてなダイアリーへ
★ 「タカ派の画像診断医」の限定公開制について
↑
閲覧登録はこちらへ
只今の登録人数:50人
以下は登録しなくても見ることが可能です。
★ タカ派の画像診断医(ホームページ)
★ 学会・研究会カレンダー(画像診断関連)
★ リンク集
PR
この記事へのトラックバック
この記事のトラックバックURL

