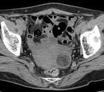
[画像診断]子宮筋腫変異型およびlipoleiomyomaについて 2010-07-07
admin≫
2010/07/07 22:47:52
2010/07/07 22:47:52
![]()
↑
「世界一になる理由には何があるのか。2位じゃダメなんでしょうか?」
(゜Д゜)ハァ?
にほんブログ村
2010-07-07
[画像診断]子宮筋腫変異型およびlipoleiomyomaについて 2010-07-07
[詳細は「タカ派の画像診断医」へ)
★ 「タカ派の画像診断医」の限定公開制について
只今の登録人数:33人
以下は登録しなくても見ることが可能です。
★ タカ派の画像診断医(ホームページ)
★ 学会・研究会カレンダー(画像診断関連)
★ リンク集
PR
この記事へのトラックバック
この記事のトラックバックURL

