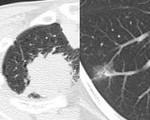
[画像診断]肺野型肺癌のタイプについて 2010-04-15
admin≫
2010/04/15 18:32:01
2010/04/15 18:32:01
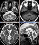
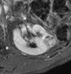
[画像診断]脳腱黄色腫症のMRI 2010-04-14
admin≫
2010/04/14 19:11:26
2010/04/14 19:11:26
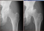
[画像診断]急速破壊型関節症のX-ray 2010-04-13
admin≫
2010/04/14 07:14:38
2010/04/14 07:14:38
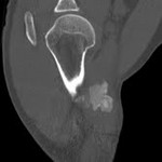
[画像診断]骨化性筋炎のCT画像 2010-04-12
admin≫
2010/04/12 21:29:33
2010/04/12 21:29:33
第69回日本医学放射線学会総会
admin≫
2010/04/09 07:40:12
2010/04/09 07:40:12
第69回日本医学放射線学会総会
2010/04/08~2010/04/11
パシフィコ横浜
2010/04/11まで、日本医学放射線学会総会へ参加します。
この間、ブログの更新および閲覧希望者の登録作業ができません。
ご了承ください。
★ 「タカ派の画像診断医」の限定公開制について
★ 学会・研究会カレンダー(画像診断関連)
★ リンク集
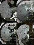
[画像診断]腎腫瘍の「beak sign」について 2010-04-07
admin≫
2010/04/07 22:33:28
2010/04/07 22:33:28
[画像診断]肺血栓塞栓症にみられうる肺陰影について 2010-04-06
admin≫
2010/04/07 07:48:06
2010/04/07 07:48:06
2010-04-06
[画像診断]肺血栓塞栓症にみられうる肺陰影について
タカ派の画像診断医 更新情報
[画像診断]尿路外への尿溢流について【研修医と学ぶ】 2010-04-05
admin≫
2010/04/05 21:35:18
2010/04/05 21:35:18
[画像メモ]小腸ガスの話【研修医と学ぶ】 2010-04-04
admin≫
2010/04/04 09:42:58
2010/04/04 09:42:58
2010-04-04
[画像メモ]小腸ガスの話【研修医と学ぶ】
タカ派の画像診断医 更新情報

