[画像メモ]WEEKLY CHEST CASES 2010-05-23
2010/05/23 10:11:35
![]()
↑
「世界一になる理由には何があるのか。2位じゃダメなんでしょうか?」
(゜Д゜)ハァ?
にほんブログ村
2010-05-23
[画像メモ]WEEKLY CHEST CASES
(詳細は「タカ派の画像診断医」へ)
★ 「タカ派の画像診断医」の限定公開制について
只今の登録人数:28人
以下は登録しなくても見ることが可能です。
★ タカ派の画像診断医(ホームページ)
★ 学会・研究会カレンダー(画像診断関連)
★ リンク集
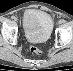
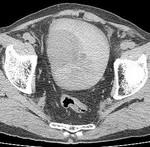
[画像診断]膀胱タンポナーデについて 2010-05-22
2010/05/22 09:19:37
![]()
↑
「世界一になる理由には何があるのか。2位じゃダメなんでしょうか?」
(゜Д゜)ハァ?
にほんブログ村
2010-05-22
[画像診断]膀胱タンポナーデについて 2010-05-22
(詳細は「タカ派の画像診断医」へ)
★ 「タカ派の画像診断医」の限定公開制について
只今の登録人数:28人
以下は登録しなくても見ることが可能です。
★ タカ派の画像診断医(ホームページ)
★ 学会・研究会カレンダー(画像診断関連)
★ リンク集
[画像メモ]131I-MIBG検査時に注意する薬剤 2010-05-21
2010/05/21 12:22:12
![]()
↑
「世界一になる理由には何があるのか。2位じゃダメなんでしょうか?」
(゜Д゜)ハァ?
にほんブログ村
2010-05-21
[画像メモ]131I-MIBG検査時に注意する薬剤
(詳細は「タカ派の画像診断医」へ)
★ 「タカ派の画像診断医」の限定公開制について
只今の登録人数:28人
以下は登録しなくても見ることが可能です。
★ タカ派の画像診断医(ホームページ)
★ 学会・研究会カレンダー(画像診断関連)
★ リンク集
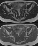
[画像診断]傍精巣腫瘤のMRI 2010-05-20
2010/05/20 07:22:45
![]()
↑
「世界一になる理由には何があるのか。2位じゃダメなんでしょうか?」
(゜Д゜)ハァ?
にほんブログ村
2010-05-20
[画像診断]傍精巣腫瘤のMRI
(詳細は「タカ派の画像診断医」へ)
★ 「タカ派の画像診断医」の限定公開制について
只今の登録人数:28人
以下は登録しなくても見ることが可能です。
★ タカ派の画像診断医(ホームページ)
★ 学会・研究会カレンダー(画像診断関連)
★ リンク集
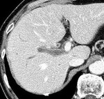
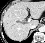
[画像診断]門脈血栓症のCT 2010-05-19
2010/05/19 12:31:56
![]()
↑
「世界一になる理由には何があるのか。2位じゃダメなんでしょうか?」
(゜Д゜)ハァ?
にほんブログ村
2010-05-19
[画像診断]門脈血栓症のCT
(詳細は「タカ派の画像診断医」へ)
★ 「タカ派の画像診断医」の限定公開制について
只今の登録人数:27人
以下は登録しなくても見ることが可能です。
★ タカ派の画像診断医(ホームページ)
★ 学会・研究会カレンダー(画像診断関連)
★ リンク集
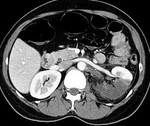
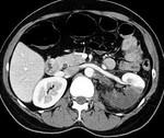
[画像診断]教訓的な腎梗塞 2010-05-18
2010/05/18 07:33:13
![]()
↑
「世界一になる理由には何があるのか。2位じゃダメなんでしょうか?」
(゜Д゜)ハァ?
にほんブログ村
2010-05-18
[画像診断]教訓的な腎梗塞
(詳細は「タカ派の画像診断医」へ)
★ 「タカ派の画像診断医」の限定公開制について
只今の登録人数:27人
以下は登録しなくても見ることが可能です。
★ タカ派の画像診断医(ホームページ)
★ 学会・研究会カレンダー(画像診断関連)
★ リンク集
[バーチャル抄読会・Jacqueline編](36) Fibromatosis and Massive Edema of the Ovary, Possibly Related Entities: A Repot of 14 Cases of Fibromatosis and 11 Cases of Massiv Edema 2010-05-17
2010/05/17 08:52:21
![]()
↑
「世界一になる理由には何があるのか。2位じゃダメなんでしょうか?」
(゜Д゜)ハァ?
にほんブログ村
2010-05-17
[バーチャル抄読会・Jacqueline編](36) Fibromatosis and Massive Edema of the Ovary, Possibly Related Entities: A Repot of 14 Cases of Fibromatosis and 11 Cases of Massiv Edema
(詳細は「タカ派の画像診断医」へ)
★ 「タカ派の画像診断医」の限定公開制について
只今の登録人数:27人
以下は登録しなくても見ることが可能です。
★ タカ派の画像診断医(ホームページ)
★ 学会・研究会カレンダー(画像診断関連)
★ リンク集
[日々の出来事]今年度の学会・研究会参加予定 2010-05-16
2010/05/16 21:26:36
![]()
↑
「世界一になる理由には何があるのか。2位じゃダメなんでしょうか?」
(゜Д゜)ハァ?
にほんブログ村
2010-05-16
[日々の出来事]今年度の学会・研究会参加予定
(詳細は「タカ派の画像診断医」へ)
★ 「タカ派の画像診断医」の限定公開制について
只今の登録人数:27人
以下は登録しなくても見ることが可能です。
★ タカ派の画像診断医(ホームページ)
★ 学会・研究会カレンダー(画像診断関連)
★ リンク集
[画像メモ]肺の所見は非特異的なものが多い! → CRP diagnosisの重要性 2010-05-15
2010/05/16 01:34:34
![]()
↑
「世界一になる理由には何があるのか。2位じゃダメなんでしょうか?」
(゜Д゜)ハァ?
にほんブログ村
2010-05-15
[画像メモ]肺の所見は非特異的なものが多い! → CRP diagnosisの重要性
(詳細は「タカ派の画像診断医」へ)
★ 「タカ派の画像診断医」の限定公開制について
只今の登録人数:24人
以下は登録しなくても見ることが可能です。
★ タカ派の画像診断医(ホームページ)
★ 学会・研究会カレンダー(画像診断関連)
★ リンク集
[画像メモ]「肺炎のレポートをする際、特に原因菌の推測など、心がけている事」について <HawksRadの場合> 2010-05-14
2010/05/15 15:10:36
![]()
↑
「世界一になる理由には何があるのか。2位じゃダメなんでしょうか?」
(゜Д゜)ハァ?
にほんブログ村
2010-05-14
[画像メモ]「肺炎のレポートをする際、特に原因菌の推測など、心がけている事」について <HawksRadの場合>
(詳細は「タカ派の画像診断医」へ)
★ 「タカ派の画像診断医」の限定公開制について
以下は登録しなくても見ることが可能です。
★ タカ派の画像診断医(ホームページ)
★ 学会・研究会カレンダー(画像診断関連)
★ リンク集

