[画像診断]極めて小さな半月板断裂について 2010-06-16
2010/06/16 21:53:27
![]()
↑
「世界一になる理由には何があるのか。2位じゃダメなんでしょうか?」
(゜Д゜)ハァ?
にほんブログ村
2010-06-16
[画像診断]極めて小さな半月板断裂について 2010-06-16
[詳細は「タカ派の画像診断医」へ)
★ 「タカ派の画像診断医」の限定公開制について
只今の登録人数:29人
以下は登録しなくても見ることが可能です。
★ タカ派の画像診断医(ホームページ)
★ 学会・研究会カレンダー(画像診断関連)
★ リンク集
[画像診断]肺の低悪性度腫瘍について 2010-06-15
2010/06/15 23:20:05
![]()
↑
「世界一になる理由には何があるのか。2位じゃダメなんでしょうか?」
(゜Д゜)ハァ?
にほんブログ村
2010-06-15
[画像診断]肺の低悪性度腫瘍について 2010-06-15
[詳細は「タカ派の画像診断医」へ)
★ 「タカ派の画像診断医」の限定公開制について
只今の登録人数:29人
以下は登録しなくても見ることが可能です。
★ タカ派の画像診断医(ホームページ)
★ 学会・研究会カレンダー(画像診断関連)
★ リンク集
[画像メモ]マイコプラズマ肺炎(自分のノートより) 2010-06-14
2010/06/14 22:02:13
![]()
↑
「世界一になる理由には何があるのか。2位じゃダメなんでしょうか?」
(゜Д゜)ハァ?
にほんブログ村
2010-06-14
[画像メモ]マイコプラズマ肺炎(自分のノートより) 2010-06-14
[詳細は「タカ派の画像診断医」へ)
★ 「タカ派の画像診断医」の限定公開制について
只今の登録人数:29人
以下は登録しなくても見ることが可能です。
★ タカ派の画像診断医(ホームページ)
★ 学会・研究会カレンダー(画像診断関連)
★ リンク集
[画像メモ]両側の浸潤影を呈する「肺炎」(自分のノートより) 2010-06-13
2010/06/14 22:01:03
![]()
↑
「世界一になる理由には何があるのか。2位じゃダメなんでしょうか?」
(゜Д゜)ハァ?
にほんブログ村
2010-06-13
[画像メモ]両側の浸潤影を呈する「肺炎」(自分のノートより) 2010-06-13
[詳細は「タカ派の画像診断医」へ)
★ 「タカ派の画像診断医」の限定公開制について
只今の登録人数:29人
以下は登録しなくても見ることが可能です。
★ タカ派の画像診断医(ホームページ)
★ 学会・研究会カレンダー(画像診断関連)
★ リンク集
[バーチャル抄読会・AKBraves編](37) Fat Within the Wall of the Urinary Bladder: Computed Tomographic Appearance 2010-06-12
2010/06/13 00:19:37
![]()
↑
「世界一になる理由には何があるのか。2位じゃダメなんでしょうか?」
(゜Д゜)ハァ?
にほんブログ村
2010-06-12
[バーチャル抄読会・AKBraves編](37) Fat Within the Wall of the Urinary Bladder: Computed Tomographic Appearance
(詳細は「タカ派の画像診断医」へ)
★ 「タカ派の画像診断医」の限定公開制について
只今の登録人数:29人
以下は登録しなくても見ることが可能です。
★ タカ派の画像診断医(ホームページ)
★ 学会・研究会カレンダー(画像診断関連)
★ リンク集
[画像診断]サーベル鞘気管について 2010-06-11
2010/06/13 00:16:04
![]()
↑
「世界一になる理由には何があるのか。2位じゃダメなんでしょうか?」
(゜Д゜)ハァ?
にほんブログ村
2010-06-11
[画像診断]サーベル鞘気管について
(詳細は「タカ派の画像診断医」へ)
★ 「タカ派の画像診断医」の限定公開制について
只今の登録人数:29人
以下は登録しなくても見ることが可能です。
★ タカ派の画像診断医(ホームページ)
★ 学会・研究会カレンダー(画像診断関連)
★ リンク集
[画像診断]正中弓状靱帯について 2010-06-09
2010/06/10 22:36:52
![]()
↑
「世界一になる理由には何があるのか。2位じゃダメなんでしょうか?」
(゜Д゜)ハァ?
にほんブログ村
2010-06-09
[画像診断]正中弓状靱帯について
(詳細は「タカ派の画像診断医」へ)
★ 「タカ派の画像診断医」の限定公開制について
只今の登録人数:29人
以下は登録しなくても見ることが可能です。
★ タカ派の画像診断医(ホームページ)
★ 学会・研究会カレンダー(画像診断関連)
★ リンク集
[画像診断]心臓CT -心房中隔欠損のCT診断- 2010-06-08
2010/06/09 19:57:47
![]()
↑
「世界一になる理由には何があるのか。2位じゃダメなんでしょうか?」
(゜Д゜)ハァ?
にほんブログ村
2010-06-08
[画像診断]心臓CT -心房中隔欠損のCT診断-
(詳細は「タカ派の画像診断医」へ)
★ 「タカ派の画像診断医」の限定公開制について
只今の登録人数:29人
以下は登録しなくても見ることが可能です。
★ タカ派の画像診断医(ホームページ)
★ 学会・研究会カレンダー(画像診断関連)
★ リンク集
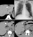
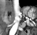
[画像診断]肝結核について 2010-06-07
2010/06/08 23:31:16
![]()
↑
「世界一になる理由には何があるのか。2位じゃダメなんでしょうか?」
(゜Д゜)ハァ?
にほんブログ村
2010-06-07
[画像診断]肝結核について
(詳細は「タカ派の画像診断医」へ)
★ 「タカ派の画像診断医」の限定公開制について
只今の登録人数:29人
以下は登録しなくても見ることが可能です。
★ タカ派の画像診断医(ホームページ)
★ 学会・研究会カレンダー(画像診断関連)
★ リンク集
[日々の出来事]第19回 造影剤と放射線シンポジウム (19th CMRS) 2010-06-05
2010/06/06 20:36:04
![]()
↑
「世界一になる理由には何があるのか。2位じゃダメなんでしょうか?」
(゜Д゜)ハァ?
にほんブログ村
2010-06-05
[日々の出来事]第19回 造影剤と放射線シンポジウム (19th CMRS)
(詳細は「タカ派の画像診断医」へ)
★ 「タカ派の画像診断医」の限定公開制について
只今の登録人数:29人
以下は登録しなくても見ることが可能です。
★ タカ派の画像診断医(ホームページ)
★ 学会・研究会カレンダー(画像診断関連)
★ リンク集

