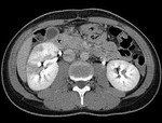
[画像診断]急性腎盂腎炎のCTレポート記載について 2010-07-27
2010/07/27 23:40:33
![]()
↑
「世界一になる理由には何があるのか。2位じゃダメなんでしょうか?」
(゜Д゜)ハァ?
にほんブログ村
2010-07-27
[画像診断]急性腎盂腎炎のCTレポート記載について 2010-07-27
[詳細は「タカ派の画像診断医」へ)
★ 「タカ派の画像診断医」の限定公開制について
只今の登録人数:34人
以下は登録しなくても見ることが可能です。
★ タカ派の画像診断医(ホームページ)
★ 学会・研究会カレンダー(画像診断関連)
★ リンク集
[画像診断]Hoffa syndromeについて 2010-07-26
2010/07/26 22:48:36
![]()
↑
「世界一になる理由には何があるのか。2位じゃダメなんでしょうか?」
(゜Д゜)ハァ?
にほんブログ村
2010-07-26
[画像診断]Hoffa syndromeについて 2010-07-26
[詳細は「タカ派の画像診断医」へ)
★ 「タカ派の画像診断医」の限定公開制について
只今の登録人数:34人
以下は登録しなくても見ることが可能です。
★ タカ派の画像診断医(ホームページ)
★ 学会・研究会カレンダー(画像診断関連)
★ リンク集
[日々の出来事]JCR2010年度ミッドサマーセミナー2日目 2010-07-25
2010/07/25 19:49:25
![]()
↑
「世界一になる理由には何があるのか。2位じゃダメなんでしょうか?」
(゜Д゜)ハァ?
にほんブログ村
2010-07-25
[日々の出来事]JCR2010年度ミッドサマーセミナー2日目 2010-07-25
[詳細は「タカ派の画像診断医」へ)
★ 「タカ派の画像診断医」の限定公開制について
只今の登録人数:34人
以下は登録しなくても見ることが可能です。
★ タカ派の画像診断医(ホームページ)
★ 学会・研究会カレンダー(画像診断関連)
★ リンク集
[日々の出来事]JCR2010年度ミッドサマーセミナー1日目 2010-07-24
2010/07/24 23:46:38
![]()
↑
「世界一になる理由には何があるのか。2位じゃダメなんでしょうか?」
(゜Д゜)ハァ?
にほんブログ村
2010-07-24
[日々の出来事]JCR2010年度ミッドサマーセミナー1日目 2010-07-24
[詳細は「タカ派の画像診断医」へ)
★ 「タカ派の画像診断医」の限定公開制について
只今の登録人数:34人
以下は登録しなくても見ることが可能です。
★ タカ派の画像診断医(ホームページ)
★ 学会・研究会カレンダー(画像診断関連)
★ リンク集
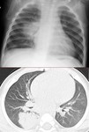
[画像診断]肺挫傷と肺裂傷について 2010-07-23
2010/07/23 23:16:55
![]()
↑
「世界一になる理由には何があるのか。2位じゃダメなんでしょうか?」
(゜Д゜)ハァ?
にほんブログ村
2010-07-23
[画像診断]肺挫傷と肺裂傷について 2010-07-23
[詳細は「タカ派の画像診断医」へ)
★ 「タカ派の画像診断医」の限定公開制について
只今の登録人数:34人
以下は登録しなくても見ることが可能です。
★ タカ派の画像診断医(ホームページ)
★ 学会・研究会カレンダー(画像診断関連)
★ リンク集
[画像診断]小児の円形肺炎について 2010-07-22
2010/07/22 22:55:09
![]()
↑
「世界一になる理由には何があるのか。2位じゃダメなんでしょうか?」
(゜Д゜)ハァ?
にほんブログ村
2010-07-22
[画像診断]小児の円形肺炎について 2010-07-22
[詳細は「タカ派の画像診断医」へ)
★ 「タカ派の画像診断医」の限定公開制について
只今の登録人数:34人
以下は登録しなくても見ることが可能です。
★ タカ派の画像診断医(ホームページ)
★ 学会・研究会カレンダー(画像診断関連)
★ リンク集
[画像診断]大腿骨頚部のストレス骨折について 2010-07-21
2010/07/21 22:58:06
![]()
↑
「世界一になる理由には何があるのか。2位じゃダメなんでしょうか?」
(゜Д゜)ハァ?
にほんブログ村
2010-07-21
[画像診断]大腿骨頚部のストレス骨折について 2010-07-21
[詳細は「タカ派の画像診断医」へ)
★ 「タカ派の画像診断医」の限定公開制について
只今の登録人数:34人
以下は登録しなくても見ることが可能です。
★ タカ派の画像診断医(ホームページ)
★ 学会・研究会カレンダー(画像診断関連)
★ リンク集
[画像メモ]第39回岡山画像診断懇話会に参加しての自己満足ノート(3) Intraabdominal desmoplastic small round cell tumorについて 2010-07-20
2010/07/20 22:32:24
![]()
↑
「世界一になる理由には何があるのか。2位じゃダメなんでしょうか?」
(゜Д゜)ハァ?
にほんブログ村
2010-07-20
[画像メモ]第39回岡山画像診断懇話会に参加しての自己満足ノート(3) Intraabdominal desmoplastic small round cell tumorについて 2010-07-20
[詳細は「タカ派の画像診断医」へ)
★ 「タカ派の画像診断医」の限定公開制について
只今の登録人数:34人
以下は登録しなくても見ることが可能です。
★ タカ派の画像診断医(ホームページ)
★ 学会・研究会カレンダー(画像診断関連)
★ リンク集
[画像メモ]CTにおける急性膵炎の重症度指数(CTBI; CT severity index)について 2010-07-19
2010/07/19 10:24:29
![]()
↑
「世界一になる理由には何があるのか。2位じゃダメなんでしょうか?」
(゜Д゜)ハァ?
にほんブログ村
2010-07-19
[画像メモ]CTにおける急性膵炎の重症度指数(CTBI; CT severity index)について 2010-07-19
[詳細は「タカ派の画像診断医」へ)
★ 「タカ派の画像診断医」の限定公開制について
只今の登録人数:34人
以下は登録しなくても見ることが可能です。
★ タカ派の画像診断医(ホームページ)
★ 学会・研究会カレンダー(画像診断関連)
★ リンク集
[画像メモ]第39回岡山画像診断懇話会に参加しての自己満足ノート(2) 流蝋骨症(melorheostosis)とその鑑別疾患のまとめ 2010-07-18
2010/07/18 17:03:40
![]()
↑
「世界一になる理由には何があるのか。2位じゃダメなんでしょうか?」
(゜Д゜)ハァ?
にほんブログ村
2010-07-18
[画像メモ]第39回岡山画像診断懇話会に参加しての自己満足ノート(2) 流蝋骨症(melorheostosis)とその鑑別疾患のまとめ 2010-07-18
[詳細は「タカ派の画像診断医」へ)
★ 「タカ派の画像診断医」の限定公開制について
只今の登録人数:34人
以下は登録しなくても見ることが可能です。
★ タカ派の画像診断医(ホームページ)
★ 学会・研究会カレンダー(画像診断関連)
★ リンク集

