[画像診断]側頭骨骨折について 2010-08-16
2010/08/16 21:43:16
![]()
↑
「世界一になる理由には何があるのか。2位じゃダメなんでしょうか?」
(゜Д゜)ハァ?
にほんブログ村
2010-08-16
[画像診断]側頭骨骨折について 2010-08-16
[詳細は「タカ派の画像診断医」へ)
↑
はてなダイアリーへ
★ 「タカ派の画像診断医」の限定公開制について
只今の登録人数:36人
以下は登録しなくても見ることが可能です。
★ タカ派の画像診断医(ホームページ)
★ 学会・研究会カレンダー(画像診断関連)
★ リンク集
[時事]終戦記念日に思うこと 2010-08-15
2010/08/15 21:21:33
![]()
↑
「世界一になる理由には何があるのか。2位じゃダメなんでしょうか?」
(゜Д゜)ハァ?
にほんブログ村
2010-08-15
[時事]終戦記念日に思うこと 2010-08-15
[詳細は「タカ派の画像診断医」へ)
↑
はてなダイアリーへ
★ 「タカ派の画像診断医」の限定公開制について
只今の登録人数:36人
以下は登録しなくても見ることが可能です。
★ タカ派の画像診断医(ホームページ)
★ 学会・研究会カレンダー(画像診断関連)
★ リンク集
終戦記念日に思うこと
8月15日
・終戦記念日
・全国戦没者追悼式
・昭和20年 終戦御詔勅玉音放送=大東亜戦争終結
今年、閣僚は誰一人として靖国神社に参拝せず。
全国戦没者追悼式にて、首相は、毎年のように"村山談話"を繰り返すのみ。
他の国に反省するのなら、まず自分の無知を反省せよ。
"菅談話"は、以下のように訂正すれば良いだろう。
「先の大戦では、多くの国々、とりわけアジア諸国の人々に対し、多大の損害と苦痛を与えました。深く反省するとともに、犠牲となられた方々とそのご遺族に対し、謹んで哀悼の意を表します。」
↓
「先の大戦では、多くの国々、とりわけアジア諸国の人々を、それまで多大の損害と苦痛に苛まれた欧米列強による植民地の呪縛から解放し、自由と繁栄を与えました。しかしそれを快く思わない欧米、支那、ソ連、朝鮮などの人達に、戦中、戦後の日本人は無差別攻撃や虐殺、強姦、強制労働、迫害などの仕打ちを受けました。このような人達にはこれからも日本に対し未来永劫深く反省していただくともに、犠牲となられた日本人の方々とそのご遺族に対し、謹んで哀悼の意を表します。」
菅首相の戦没者追悼式式辞全文
http://www.47news.jp/CN/201008/CN2010081501000221.html
[画像診断]前立腺・傍前立腺嚢胞性疾患について 2010-08-14
2010/08/14 23:05:47
![]()
↑
「世界一になる理由には何があるのか。2位じゃダメなんでしょうか?」
(゜Д゜)ハァ?
にほんブログ村
2010-08-14
[画像診断]前立腺・傍前立腺嚢胞性疾患について 2010-08-14
[詳細は「タカ派の画像診断医」へ)
↑
はてなダイアリーへ
★ 「タカ派の画像診断医」の限定公開制について
只今の登録人数:36人
以下は登録しなくても見ることが可能です。
★ タカ派の画像診断医(ホームページ)
★ 学会・研究会カレンダー(画像診断関連)
★ リンク集
[画像診断]膵管走行および膵管の解剖学的異常(膵管癒合不全=divisumを含めて) 2010-08-13
2010/08/13 23:52:25
![]()
↑
「世界一になる理由には何があるのか。2位じゃダメなんでしょうか?」
(゜Д゜)ハァ?
にほんブログ村
2010-08-13
[画像診断]膵管走行および膵管の解剖学的異常(膵管癒合不全=divisumを含めて) 2010-08-13
[詳細は「タカ派の画像診断医」へ)
↑
はてなダイアリーへ
★ 「タカ派の画像診断医」の限定公開制について
只今の登録人数:36人
以下は登録しなくても見ることが可能です。
★ タカ派の画像診断医(ホームページ)
★ 学会・研究会カレンダー(画像診断関連)
★ リンク集
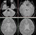
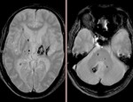
[画像診断]脳内の多発海綿状血管腫について<続き> 2010-08-12
2010/08/12 23:58:34
![]()
↑
「世界一になる理由には何があるのか。2位じゃダメなんでしょうか?」
(゜Д゜)ハァ?
にほんブログ村
2010-08-12
[画像診断]脳内の多発海綿状血管腫について<続き> 2010-08-12
[詳細は「タカ派の画像診断医」へ)
↑
はてなダイアリーへ
★ 「タカ派の画像診断医」の限定公開制について
只今の登録人数:36人
以下は登録しなくても見ることが可能です。
★ タカ派の画像診断医(ホームページ)
★ 学会・研究会カレンダー(画像診断関連)
★ リンク集
[画像診断]脳内の多発海綿状血管腫について 2010-08-11
2010/08/11 22:02:55
![]()
↑
「世界一になる理由には何があるのか。2位じゃダメなんでしょうか?」
(゜Д゜)ハァ?
にほんブログ村
2010-08-11
[画像診断]脳内の多発海綿状血管腫について 2010-08-11
[詳細は「タカ派の画像診断医」へ)
↑
はてなダイアリーへ
★ 「タカ派の画像診断医」の限定公開制について
只今の登録人数:36人
以下は登録しなくても見ることが可能です。
★ タカ派の画像診断医(ホームページ)
★ 学会・研究会カレンダー(画像診断関連)
★ リンク集
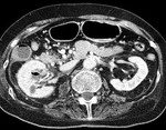
[画像診断]気腫性腎盂炎について 2010-08-10
2010/08/10 21:58:40
![]()
↑
「世界一になる理由には何があるのか。2位じゃダメなんでしょうか?」
(゜Д゜)ハァ?
にほんブログ村
2010-08-10
[画像診断]気腫性腎盂炎について 2010-08-10
[詳細は「タカ派の画像診断医」へ)
↑
はてなダイアリーへ
★ 「タカ派の画像診断医」の限定公開制について
只今の登録人数:36人
以下は登録しなくても見ることが可能です。
★ タカ派の画像診断医(ホームページ)
★ 学会・研究会カレンダー(画像診断関連)
★ リンク集
[歴史・地理]8月9日 2010-08-09
2010/08/09 21:49:18
![]()
↑
「世界一になる理由には何があるのか。2位じゃダメなんでしょうか?」
(゜Д゜)ハァ?
にほんブログ村
2010-08-09
[歴史・地理]8月9日 2010-08-09
[詳細は「タカ派の画像診断医」へ)
↑
はてなダイアリーへ
★ 「タカ派の画像診断医」の限定公開制について
只今の登録人数:36人
以下は登録しなくても見ることが可能です。
★ タカ派の画像診断医(ホームページ)
★ 学会・研究会カレンダー(画像診断関連)
★ リンク集
1937年 大山事件
上海で偵察中の上海海軍特別陸戦隊・大山勇夫中尉が中国保安隊に殺害された
1945年
第二次世界大戦: 長崎市への原子爆弾投下
(アメリカの国際法違反、非戦闘員への無差別攻撃における戦争犯罪)
1945年
第二次世界大戦・ソ連対日参戦: ソビエト連邦が満州・朝鮮・樺太の国境を突破。
(ソ連の日ソ中立条約違反、非戦闘員への無差別攻撃における戦争犯罪)
[歴史・地理]1945年8月8日 2010-08-08
2010/08/08 21:46:37
![]()
↑
「世界一になる理由には何があるのか。2位じゃダメなんでしょうか?」
(゜Д゜)ハァ?
にほんブログ村
2010-08-08
[歴史・地理]1945年8月8日 2010-08-08
[詳細は「タカ派の画像診断医」へ)
↑
はてなダイアリーへ
★ 「タカ派の画像診断医」の限定公開制について
只今の登録人数:36人
以下は登録しなくても見ることが可能です。
★ タカ派の画像診断医(ホームページ)
★ 学会・研究会カレンダー(画像診断関連)
★ リンク集
1945年8月8日
・ソ連対日参戦
・福山大空襲
日本人として、広島県民として、今日の日を、決して忘れてはならない。
アメリカおよびソ連の戦争犯罪、国際法違反の事実、殺害された無辜の民の無念を、記憶に留めよ。
[日々の出来事]立秋 2010-08-07
2010/08/07 21:42:51
![]()
↑
「世界一になる理由には何があるのか。2位じゃダメなんでしょうか?」
(゜Д゜)ハァ?
にほんブログ村
2010-08-07
[日々の出来事]立秋 2010-08-07
[詳細は「タカ派の画像診断医」へ)
↑
はてなダイアリーへ
★ 「タカ派の画像診断医」の限定公開制について
只今の登録人数:36人
以下は登録しなくても見ることが可能です。
★ タカ派の画像診断医(ホームページ)
★ 学会・研究会カレンダー(画像診断関連)
★ リンク集
今日は立秋だったが、猛暑+すごい夕立。
(お休み)

