[バーチャル抄読会・HawksRad編](42) 肺炎クラミジア:薄層CTにてのマイコプラズマ、肺炎球菌の所見との比較 2010-08-26
2010/08/26 22:58:06
![]()
↑
「世界一になる理由には何があるのか。2位じゃダメなんでしょうか?」
(゜Д゜)ハァ?
にほんブログ村
2010-08-26
[バーチャル抄読会・HawksRad編](42) 肺炎クラミジア:薄層CTにてのマイコプラズマ、肺炎球菌の所見との比較 2010-08-26
[詳細は「タカ派の画像診断医」へ)
↑
はてなダイアリーへ
★ 「タカ派の画像診断医」の限定公開制について
只今の登録人数:37人
以下は登録しなくても見ることが可能です。
★ タカ派の画像診断医(ホームページ)
★ 学会・研究会カレンダー(画像診断関連)
★ リンク集
[画像診断]腎盂腎炎とCTについて【初期研修医と学ぶ】 2010-08-25
2010/08/25 22:13:02
![]()
↑
「世界一になる理由には何があるのか。2位じゃダメなんでしょうか?」
(゜Д゜)ハァ?
にほんブログ村
2010-08-25
[画像診断]腎盂腎炎とCTについて【初期研修医と学ぶ】 2010-08-25
[詳細は「タカ派の画像診断医」へ)
↑
はてなダイアリーへ
★ 「タカ派の画像診断医」の限定公開制について
只今の登録人数:36人
以下は登録しなくても見ることが可能です。
★ タカ派の画像診断医(ホームページ)
★ 学会・研究会カレンダー(画像診断関連)
★ リンク集
[日々の出来事]地域の講演会(座長) 2010-08-24
2010/08/24 23:53:21
![]()
↑
「世界一になる理由には何があるのか。2位じゃダメなんでしょうか?」
(゜Д゜)ハァ?
にほんブログ村
2010-08-24
[日々の出来事]地域の講演会(座長) 2010-08-24
[詳細は「タカ派の画像診断医」へ)
↑
はてなダイアリーへ
★ 「タカ派の画像診断医」の限定公開制について
只今の登録人数:36人
以下は登録しなくても見ることが可能です。
★ タカ派の画像診断医(ホームページ)
★ 学会・研究会カレンダー(画像診断関連)
★ リンク集
地域の講演会で座長のため、お休み
[バーチャル抄読会・AKBraves編](41) 腰肋と頚肋について 2010-08-23
2010/08/23 22:12:28
![]()
↑
「世界一になる理由には何があるのか。2位じゃダメなんでしょうか?」
(゜Д゜)ハァ?
にほんブログ村
2010-08-23
[バーチャル抄読会・AKBraves編](41) 腰肋と頚肋について 2010-08-23
[詳細は「タカ派の画像診断医」へ)
↑
はてなダイアリーへ
★ 「タカ派の画像診断医」の限定公開制について
只今の登録人数:36人
以下は登録しなくても見ることが可能です。
★ タカ派の画像診断医(ホームページ)
★ 学会・研究会カレンダー(画像診断関連)
★ リンク集
[日々の出来事]厳しい残暑 2010-08-22
2010/08/22 23:03:00
![]()
↑
「世界一になる理由には何があるのか。2位じゃダメなんでしょうか?」
(゜Д゜)ハァ?
にほんブログ村
2010-08-22
[日々の出来事]厳しい残暑 2010-08-22
[詳細は「タカ派の画像診断医」へ)
↑
はてなダイアリーへ
★ 「タカ派の画像診断医」の限定公開制について
只今の登録人数:36人
以下は登録しなくても見ることが可能です。
★ タカ派の画像診断医(ホームページ)
★ 学会・研究会カレンダー(画像診断関連)
★ リンク集
厳しい残暑、残暑、残暑・・・
のため、お休み
しかし、第46回 日本医学放射線学会秋季臨床大会の準備は、かなりはかどった。
ちなみに、・・・
利益相反事項は
ありません
[歴史・地理]8月の主な出来事 2010-08-21
2010/08/21 23:38:12
![]()
↑
「世界一になる理由には何があるのか。2位じゃダメなんでしょうか?」
(゜Д゜)ハァ?
にほんブログ村
2010-08-21
[歴史・地理]8月の主な出来事 2010-08-21
[詳細は「タカ派の画像診断医」へ)
↑
はてなダイアリーへ
★ 「タカ派の画像診断医」の限定公開制について
只今の登録人数:36人
以下は登録しなくても見ることが可能です。
★ タカ派の画像診断医(ホームページ)
★ 学会・研究会カレンダー(画像診断関連)
★ リンク集
8月の主な出来事
大正7年8月2日 シベリア出兵宣言
昭和19年8月3日 テニアン守備隊玉砕
昭和20年8月6日 広島原爆被災(非戦闘員無差別殺害の禁止違反)
昭和20年8月9日 長崎原爆被災(非戦闘員無差別殺害の禁止違反)
昭和20年8月9日 ソ連軍、満州、北鮮、樺太に侵攻開始(日ソ中立条約違反、非戦闘員無差別殺害の禁止違反)
昭和19年8月11日 グアム島守備隊玉砕
昭和20年8月15日 終戦御詔勅玉音放送=大東亜戦争終結
昭和15年8月19日 零戦、初の実戦出動(漢口より重慶攻撃)
昭和20年8月20日 ソ連軍侵攻により樺太真岡局女子電話交換手九名自決
昭和19年8月22日 沖縄からの疎開船対馬丸、悪石島近海で米潜水艦の魚雷攻撃を受け学童七百名を含む千五百名海没
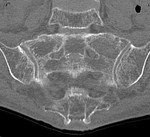
[画像診断]仙骨脆弱性骨折について【初期研修医と学ぶ】 2010-08-20
2010/08/20 23:48:29
![]()
↑
「世界一になる理由には何があるのか。2位じゃダメなんでしょうか?」
(゜Д゜)ハァ?
にほんブログ村
2010-08-20
[画像診断]仙骨脆弱性骨折について【初期研修医と学ぶ】 2010-08-20
[詳細は「タカ派の画像診断医」へ)
↑
はてなダイアリーへ
★ 「タカ派の画像診断医」の限定公開制について
只今の登録人数:36人
以下は登録しなくても見ることが可能です。
★ タカ派の画像診断医(ホームページ)
★ 学会・研究会カレンダー(画像診断関連)
★ リンク集
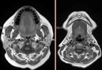
[画像診断]シェーグレン症候群の頚部MRI 【後期研修医と学ぶ】 2010-08-19
2010/08/19 22:44:08
![]()
↑
「世界一になる理由には何があるのか。2位じゃダメなんでしょうか?」
(゜Д゜)ハァ?
にほんブログ村
2010-08-19
[画像診断]シェーグレン症候群の頚部MRI 【後期研修医と学ぶ】 2010-08-19
[詳細は「タカ派の画像診断医」へ)
↑
はてなダイアリーへ
★ 「タカ派の画像診断医」の限定公開制について
只今の登録人数:36人
以下は登録しなくても見ることが可能です。
★ タカ派の画像診断医(ホームページ)
★ 学会・研究会カレンダー(画像診断関連)
★ リンク集
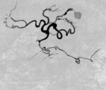
[画像診断]segmental arterial mediolysis (SAM)について 2010-08-18
2010/08/18 23:41:41
![]()
↑
「世界一になる理由には何があるのか。2位じゃダメなんでしょうか?」
(゜Д゜)ハァ?
にほんブログ村
2010-08-18
[画像診断]segmental arterial mediolysis (SAM)について 2010-08-18
[詳細は「タカ派の画像診断医」へ)
↑
はてなダイアリーへ
★ 「タカ派の画像診断医」の限定公開制について
只今の登録人数:36人
以下は登録しなくても見ることが可能です。
★ タカ派の画像診断医(ホームページ)
★ 学会・研究会カレンダー(画像診断関連)
★ リンク集
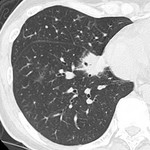
[画像診断]肺MALTリンパ腫のCT所見【研修医と学ぶ】 2010-08-17
2010/08/17 22:22:49
![]()
↑
「世界一になる理由には何があるのか。2位じゃダメなんでしょうか?」
(゜Д゜)ハァ?
にほんブログ村
2010-08-17
[画像診断]肺MALTリンパ腫のCT所見【研修医と学ぶ】 2010-08-17
[詳細は「タカ派の画像診断医」へ)
↑
はてなダイアリーへ
★ 「タカ派の画像診断医」の限定公開制について
只今の登録人数:36人
以下は登録しなくても見ることが可能です。
★ タカ派の画像診断医(ホームページ)
★ 学会・研究会カレンダー(画像診断関連)
★ リンク集

