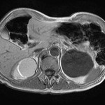
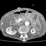
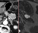
[画像診断]非定型腎嚢胞について【研修医と復習(過去からの復讐?)】 2011-01-20
2011/01/20 23:16:58
![]()
↑
「世界一になる理由には何があるのか。2位じゃダメなんでしょうか?」
(゜Д゜)ハァ?
にほんブログ村
2011-01-20
[画像診断]非定型腎嚢胞について【研修医と復習(過去からの復讐?)】 2011-01-20
[詳細は「タカ派の画像診断医」へ)
↑
はてなダイアリーへ
★ 「タカ派の画像診断医」の限定公開制について
↑
閲覧登録はこちらへ
只今の登録人数:43人
以下は登録しなくても見ることが可能です。
★ タカ派の画像診断医(ホームページ)
★ 学会・研究会カレンダー(画像診断関連)
★ リンク集
[画像診断]分裂膝蓋骨について(二分・三分膝蓋骨、有痛性分裂膝蓋骨) 2011-01-18
2011/01/18 22:20:51
![]()
↑
「世界一になる理由には何があるのか。2位じゃダメなんでしょうか?」
(゜Д゜)ハァ?
にほんブログ村
2011-01-18
[画像診断]分裂膝蓋骨について(二分・三分膝蓋骨、有痛性分裂膝蓋骨) 2011-01-18
[詳細は「タカ派の画像診断医」へ)
↑
はてなダイアリーへ
★ 「タカ派の画像診断医」の限定公開制について
↑
閲覧登録はこちらへ
只今の登録人数:42人
以下は登録しなくても見ることが可能です。
★ タカ派の画像診断医(ホームページ)
★ 学会・研究会カレンダー(画像診断関連)
★ リンク集
[画像メモ]肺動脈瘤の原因について 2011-01-17
2011/01/17 23:00:05
![]()
↑
「世界一になる理由には何があるのか。2位じゃダメなんでしょうか?」
(゜Д゜)ハァ?
にほんブログ村
2011-01-17
[画像メモ]肺動脈瘤の原因について 2011-01-17
[詳細は「タカ派の画像診断医」へ)
↑
はてなダイアリーへ
★ 「タカ派の画像診断医」の限定公開制について
↑
閲覧登録はこちらへ
只今の登録人数:42人
以下は登録しなくても見ることが可能です。
★ タカ派の画像診断医(ホームページ)
★ 学会・研究会カレンダー(画像診断関連)
★ リンク集
[画像診断]脳腫瘍に対するタリウム(201Tl)シンチについて 2011-01-14
2011/01/14 23:31:53
![]()
↑
「世界一になる理由には何があるのか。2位じゃダメなんでしょうか?」
(゜Д゜)ハァ?
にほんブログ村
2011-01-14
[画像診断]脳腫瘍に対するタリウム(201Tl)シンチについて 2011-01-14
[詳細は「タカ派の画像診断医」へ)
↑
はてなダイアリーへ
★ 「タカ派の画像診断医」の限定公開制について
↑
閲覧登録はこちらへ
只今の登録人数:42人
以下は登録しなくても見ることが可能です。
★ タカ派の画像診断医(ホームページ)
★ 学会・研究会カレンダー(画像診断関連)
★ リンク集
[画像診断]含歯性嚢胞について 2011-01-13
2011/01/13 22:25:23
![]()
↑
「世界一になる理由には何があるのか。2位じゃダメなんでしょうか?」
(゜Д゜)ハァ?
にほんブログ村
2011-01-13
[画像診断]含歯性嚢胞について 2011-01-13
[詳細は「タカ派の画像診断医」へ)
↑
はてなダイアリーへ
★ 「タカ派の画像診断医」の限定公開制について
↑
閲覧登録はこちらへ
只今の登録人数:42人
以下は登録しなくても見ることが可能です。
★ タカ派の画像診断医(ホームページ)
★ 学会・研究会カレンダー(画像診断関連)
★ リンク集
[画像診断]膵漿液性嚢胞腫瘍(serous cystic neoplasm; SCN)の一般的事項について 2011-01-12
2011/01/12 23:03:45
![]()
↑
「世界一になる理由には何があるのか。2位じゃダメなんでしょうか?」
(゜Д゜)ハァ?
にほんブログ村
2011-01-12
[画像診断]膵漿液性嚢胞腫瘍(serous cystic neoplasm; SCN)の一般的事項について 2011-01-12
[詳細は「タカ派の画像診断医」へ)
↑
はてなダイアリーへ
★ 「タカ派の画像診断医」の限定公開制について
↑
閲覧登録はこちらへ
只今の登録人数:42人
以下は登録しなくても見ることが可能です。
★ タカ派の画像診断医(ホームページ)
★ 学会・研究会カレンダー(画像診断関連)
★ リンク集
[画像メモ]悪性末梢神経鞘腫瘍(malignant peripheral nerve sheath tumor;MPNST)について 2011-01-11
2011/01/11 22:52:51
![]()
↑
「世界一になる理由には何があるのか。2位じゃダメなんでしょうか?」
(゜Д゜)ハァ?
にほんブログ村
2011-01-11
[画像メモ]悪性末梢神経鞘腫瘍(malignant peripheral nerve sheath tumor;MPNST)について 2011-01-11
[詳細は「タカ派の画像診断医」へ)
↑
はてなダイアリーへ
★ 「タカ派の画像診断医」の限定公開制について
↑
閲覧登録はこちらへ
只今の登録人数:42人
以下は登録しなくても見ることが可能です。
★ タカ派の画像診断医(ホームページ)
★ 学会・研究会カレンダー(画像診断関連)
★ リンク集
[歴史・地理]1月初旬の行事、歴史 2011-01-08
2011/01/08 23:40:03
![]()
↑
「世界一になる理由には何があるのか。2位じゃダメなんでしょうか?」
(゜Д゜)ハァ?
にほんブログ村
2011-01-08
[歴史・地理]1月初旬の行事、歴史 2011-01-08
[詳細は「タカ派の画像診断医」へ)
↑
はてなダイアリーへ
★ 「タカ派の画像診断医」の限定公開制について
↑
閲覧登録はこちらへ
只今の登録人数:42人
以下は登録しなくても見ることが可能です。
★ タカ派の画像診断医(ホームページ)
★ 学会・研究会カレンダー(画像診断関連)
★ リンク集
[画像メモ]びまん性脳浮腫の原因について 2011-01-07
2011/01/08 00:01:38
![]()
↑
「世界一になる理由には何があるのか。2位じゃダメなんでしょうか?」
(゜Д゜)ハァ?
にほんブログ村
2011-01-07
[画像メモ]びまん性脳浮腫の原因について 2011-01-07
[詳細は「タカ派の画像診断医」へ)
↑
はてなダイアリーへ
★ 「タカ派の画像診断医」の限定公開制について
↑
閲覧登録はこちらへ
只今の登録人数:42人
以下は登録しなくても見ることが可能です。
★ タカ派の画像診断医(ホームページ)
★ 学会・研究会カレンダー(画像診断関連)
★ リンク集
[画像診断]術後腸重積について 2011-01-06
2011/01/06 22:44:53
![]()
↑
「世界一になる理由には何があるのか。2位じゃダメなんでしょうか?」
(゜Д゜)ハァ?
にほんブログ村
2011-01-06
[画像診断]術後腸重積について 2011-01-06
[詳細は「タカ派の画像診断医」へ)
↑
はてなダイアリーへ
★ 「タカ派の画像診断医」の限定公開制について
↑
閲覧登録はこちらへ
只今の登録人数:42人
以下は登録しなくても見ることが可能です。
★ タカ派の画像診断医(ホームページ)
★ 学会・研究会カレンダー(画像診断関連)
★ リンク集

