[画像診断]脈絡叢嚢胞について【研修医と学ぶ】 2011-02-25
2011/02/25 23:46:19
![]()
↑
「世界一になる理由には何があるのか。2位じゃダメなんでしょうか?」
(゜Д゜)ハァ?
にほんブログ村
2011-02-25
[画像診断]脈絡叢嚢胞について【研修医と学ぶ】 2011-02-25
[詳細は「タカ派の画像診断医」へ)
↑
はてなダイアリーへ
★ 「タカ派の画像診断医」の限定公開制について
↑
閲覧登録はこちらへ
只今の登録人数:46人
以下は登録しなくても見ることが可能です。
★ タカ派の画像診断医(ホームページ)
★ 学会・研究会カレンダー(画像診断関連)
★ リンク集
[画像診断]転移性脳腫瘍について+出血を伴う脳転移【研修医と学ぶ】 2011-02-24
2011/02/24 23:27:26
![]()
↑
「世界一になる理由には何があるのか。2位じゃダメなんでしょうか?」
(゜Д゜)ハァ?
にほんブログ村
2011-02-24
[画像診断]転移性脳腫瘍について+出血を伴う脳転移【研修医と学ぶ】 2011-02-24
[詳細は「タカ派の画像診断医」へ)
↑
はてなダイアリーへ
★ 「タカ派の画像診断医」の限定公開制について
↑
閲覧登録はこちらへ
只今の登録人数:46人
以下は登録しなくても見ることが可能です。
★ タカ派の画像診断医(ホームページ)
★ 学会・研究会カレンダー(画像診断関連)
★ リンク集
[画像診断]マンモグラフィにて境界明瞭な乳腺腫瘤の鑑別診断について 2011-02-23
2011/02/23 21:36:56
![]()
↑
「世界一になる理由には何があるのか。2位じゃダメなんでしょうか?」
(゜Д゜)ハァ?
にほんブログ村
2011-02-23
[画像診断]マンモグラフィにて境界明瞭な乳腺腫瘤の鑑別診断について 2011-02-23
[詳細は「タカ派の画像診断医」へ)
↑
はてなダイアリーへ
★ 「タカ派の画像診断医」の限定公開制について
↑
閲覧登録はこちらへ
只今の登録人数:46人
以下は登録しなくても見ることが可能です。
★ タカ派の画像診断医(ホームページ)
★ 学会・研究会カレンダー(画像診断関連)
★ リンク集
[画像診断]転移性脊椎腫瘍について【研修医と学ぶ】 2011-02-22
2011/02/22 22:22:57
![]()
↑
「世界一になる理由には何があるのか。2位じゃダメなんでしょうか?」
(゜Д゜)ハァ?
にほんブログ村
2011-02-22
[画像診断]転移性脊椎腫瘍について【研修医と学ぶ】 2011-02-22
[詳細は「タカ派の画像診断医」へ)
↑
はてなダイアリーへ
★ 「タカ派の画像診断医」の限定公開制について
↑
閲覧登録はこちらへ
只今の登録人数:46人
以下は登録しなくても見ることが可能です。
★ タカ派の画像診断医(ホームページ)
★ 学会・研究会カレンダー(画像診断関連)
★ リンク集
[画像メモ]Morton病(Morton神経腫)について 2011-02-21
2011/02/21 21:10:15
![]()
↑
「世界一になる理由には何があるのか。2位じゃダメなんでしょうか?」
(゜Д゜)ハァ?
にほんブログ村
2011-02-21
[画像メモ]Morton病(Morton神経腫)について 2011-02-21
[詳細は「タカ派の画像診断医」へ)
↑
はてなダイアリーへ
★ 「タカ派の画像診断医」の限定公開制について
↑
閲覧登録はこちらへ
只今の登録人数:46人
以下は登録しなくても見ることが可能です。
★ タカ派の画像診断医(ホームページ)
★ 学会・研究会カレンダー(画像診断関連)
★ リンク集
[時事]捕鯨問題 2011-02-20
2011/02/20 10:52:52
![]()
↑
「世界一になる理由には何があるのか。2位じゃダメなんでしょうか?」
(゜Д゜)ハァ?
にほんブログ村
2011-02-20
[時事]捕鯨問題 2011-02-20
[詳細は「タカ派の画像診断医」へ)
↑
はてなダイアリーへ
★ 「タカ派の画像診断医」の限定公開制について
↑
閲覧登録はこちらへ
只今の登録人数:46人
以下は登録しなくても見ることが可能です。
★ タカ派の画像診断医(ホームページ)
★ 学会・研究会カレンダー(画像診断関連)
★ リンク集
第24次南極海鯨類捕獲調査切り上げ
http://www.icrwhale.org/110218ReleaseJp.htm
http://www.icrwhale.org/index.htm
日本の鯨類捕獲調査を妨害するグリーンピース及びシーシェパードに対する抗議書-署名のお願い
http://www.icrwhale.org/syomei.htm
オランダ、オーストラリアは、シーシェパードに船籍を与えている
→暴力行為を止めることができなかった
オーストラリア、ニュージーランドは、シーシェパードの暴力行為を非難しない
→さらに、日本の捕鯨調査切り上げを歓迎した
オランダ、オーストラリア、ニュージーランドは、経済活動に国際的な制裁を加えられるべきである。
特にオランダに対しては、大東亜戦争終結後に日本兵が受けた残虐な仕打ちをも、忘れてはならない。
捕鯨は、われわれ日本人の伝統であり、食糧の問題の根幹である。
[時事]最近のつぶやきから(警察、子供、パンダ、捕鯨、ロシア、列車) 2011-02-19
2011/02/19 23:29:30
![]()
↑
「世界一になる理由には何があるのか。2位じゃダメなんでしょうか?」
(゜Д゜)ハァ?
にほんブログ村
2011-02-19
[時事]最近のつぶやきから(警察、子供、パンダ、捕鯨、ロシア、列車) 2011-02-19
[詳細は「タカ派の画像診断医」へ)
↑
はてなダイアリーへ
★ 「タカ派の画像診断医」の限定公開制について
↑
閲覧登録はこちらへ
只今の登録人数:46人
以下は登録しなくても見ることが可能です。
★ タカ派の画像診断医(ホームページ)
★ 学会・研究会カレンダー(画像診断関連)
★ リンク集
最近のつぶやきから(警察、子供、パンダ、捕鯨、ロシア、列車)
警察は大きな権力を持っている以上、警察自身の犯罪はより罪深い。警察官が罪を犯した際の刑罰を重くする法律制定を早急に望む。 http://nifty.jp/dK8dQs
子供たちが喜ぶのはわかるが、チベットからパンダを強奪した支那人に叩く大金が、チベット民族抹殺のために使われるかもしれない。 パンダ熱烈歓迎 21日に来日 沸く上野 - MSN産経ニュース http://t.co/vLyREUr
【眠れぬ墓標】第4部・消えない責務(4)世代 大切に思う心、後世へ伝える - MSN産経ニュース http://bit.ly/dJBT08
http://bit.ly/gnslAF さらし鯨は僕の大好物で、週1回は食べている。国際捕鯨連盟の脱退を望む。商業捕鯨再開は日本人の悲願。おいしい鯨を安く食べれる世の中に、早くなって欲しい。
雲海に浮かぶ竹田城址 - ユーザー投稿 - MSN産経フォト http://t.co/L3e4n37
日本国の正当な活動が、ついに暴力、テロリズムに屈してしまった・・・今期は残念。 SS妨害 調査捕鯨の中止を決定 http://bit.ly/h5x93a
シー・チキンめ、ついにヤリやがったな! 民主亡き後の次期政権ではシー・チキン号を轟沈できる法整備を! SSの調査捕鯨妨害が過激化 日本政府、豪州に被害届を提出 - MSN産経ニュース http://t.co/PGc0e91
さすが、火事場泥棒の国。帰せ、全千島、南樺太! ロシアで日本国旗燃やされる http://bit.ly/fi4vVC
支持率は余り当てにならんが、民主党は特に酷い。 内閣支持が最低の17.8% 時事 http://bit.ly/g7GwND
相変わらずの恣意性。台湾番組の時もそうだったが。受信料帰せ! NHK「無縁社会」で過剰演出 ネット軽視だ!出演者から苦情相次ぐ - 政治・社会 - ZAKZAK http://t.co/yNASgW3
「ドリームにちりん」思い出の列車だったのに・・・、廃止は残念。 雷鳥、ドリームにちりん…姿消す「昭和の名列車」たち - 政治・社会 - ZAKZAK http://t.co/RoBomrR via @zakdesk
すごい月給ですね。 KARA「月給1万円」3人が事務所提訴 http://bit.ly/iklOwt
今日は、滑って転んで、スリップして事故して、怪我する人が続出。 http://bit.ly/dKI02Q
今日の山陽地方、珍しく積雪。帰りに自動車を発進させるのに「雪かき」しました。こういう事はひと冬に1,2回あります。二つ玉低気圧による平野部の降雪パターン。明日の路面凍結に注意。http://bit.ly/dW4jxJ
ただ手をこまねくだけでは駄目だ。 ロシアが北方領土の開発を中韓に呼びかけ、韓国は準備に着手 http://news.searchina.ne.jp/disp.cgi?y=2011&d=0213&f=politics_0213_011.shtml
うちの近所には、子供を駐車場で遊ばせているバカ親が複数人います。 近所の子どもの騒音(苦情言いました) http://t.co/oKirlBX via @oshiete_goo
[画像診断]腎動静脈奇形について 2011-02-18
2011/02/18 23:15:58
![]()
↑
「世界一になる理由には何があるのか。2位じゃダメなんでしょうか?」
(゜Д゜)ハァ?
にほんブログ村
2011-02-18
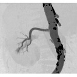
[画像診断]腎動静脈奇形について 2011-02-18
[詳細は「タカ派の画像診断医」へ)
↑
はてなダイアリーへ
★ 「タカ派の画像診断医」の限定公開制について
↑
閲覧登録はこちらへ
只今の登録人数:46人
以下は登録しなくても見ることが可能です。
★ タカ派の画像診断医(ホームページ)
★ 学会・研究会カレンダー(画像診断関連)
★ リンク集
[画像診断]椎体の骨島について 【研修医と学ぶ】 2011-02-17
2011/02/17 23:08:46
![]()
↑
「世界一になる理由には何があるのか。2位じゃダメなんでしょうか?」
(゜Д゜)ハァ?
にほんブログ村
2011-02-17
[画像診断]椎体の骨島について 【研修医と学ぶ】 2011-02-17
[詳細は「タカ派の画像診断医」へ)
↑
はてなダイアリーへ
★ 「タカ派の画像診断医」の限定公開制について
↑
閲覧登録はこちらへ
只今の登録人数:46人
以下は登録しなくても見ることが可能です。
★ タカ派の画像診断医(ホームページ)
★ 学会・研究会カレンダー(画像診断関連)
★ リンク集
[画像診断]MRIにおける骨髄の再転換について 2011-02-16
2011/02/16 22:23:04
![]()
↑
「世界一になる理由には何があるのか。2位じゃダメなんでしょうか?」
(゜Д゜)ハァ?
にほんブログ村
2011-02-16
[画像診断]MRIにおける骨髄の再転換について 2011-02-16
[詳細は「タカ派の画像診断医」へ)
↑
はてなダイアリーへ
★ 「タカ派の画像診断医」の限定公開制について
↑
閲覧登録はこちらへ
只今の登録人数:46人
以下は登録しなくても見ることが可能です。
★ タカ派の画像診断医(ホームページ)
★ 学会・研究会カレンダー(画像診断関連)
★ リンク集

