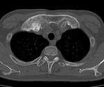
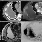
[画像診断]肋骨の線維性骨異形成(fibrous dysplasia)について 2011-05-02
2011/05/02 23:41:45
![]()
↑
「世界一になる理由には何があるのか。2位じゃダメなんでしょうか?」
(゜Д゜)ハァ?
R4「皆様、余震に充分な備えをお願いします。落下物におきをつけください」
→「仕分けで予算削ったくせに・・・。落下物とか何を今更。落選の心配でもしてろ」
にほんブログ村
2011-05-02
[画像診断]肋骨の線維性骨異形成(fibrous dysplasia)について 2011-05-02
[詳細は「タカ派の画像診断医」へ)
↑
はてなダイアリーへ
★ 「タカ派の画像診断医」の限定公開制について
↑
閲覧登録はこちらへ
只今の登録人数:50人
以下は登録しなくても見ることが可能です。
★ タカ派の画像診断医(ホームページ)
★ 学会・研究会カレンダー(画像診断関連)
★ リンク集
[歴史・地理]5月1日 2011-05-01
2011/05/01 21:20:22
![]()
↑
「世界一になる理由には何があるのか。2位じゃダメなんでしょうか?」
(゜Д゜)ハァ?
R4「皆様、余震に充分な備えをお願いします。落下物におきをつけください」
→「仕分けで予算削ったくせに・・・。落下物とか何を今更。落選の心配でもしてろ」
にほんブログ村
2011-05-01
[歴史・地理]5月1日 2011-05-01
[詳細は「タカ派の画像診断医」へ)
↑
はてなダイアリーへ
★ 「タカ派の画像診断医」の限定公開制について
↑
閲覧登録はこちらへ
只今の登録人数:50人
以下は登録しなくても見ることが可能です。
★ タカ派の画像診断医(ホームページ)
★ 学会・研究会カレンダー(画像診断関連)
★ リンク集
5月1日
靖国神社の月次祭
メーデー
日本赤十字社創立記念日
明治37年5月1日 第一軍、鴨緑江を渡河して九連城を占領
昭和17年5月1日 ビルマのマンダレー占領
[時事]最近のつぶやきから 2011-04-30
2011/04/30 10:16:35
![]()
↑
「世界一になる理由には何があるのか。2位じゃダメなんでしょうか?」
(゜Д゜)ハァ?
R4「皆様、余震に充分な備えをお願いします。落下物におきをつけください」
→「仕分けで予算削ったくせに・・・。落下物とか何を今更。落選の心配でもしてろ」
にほんブログ村
2011-04-30
[時事]最近のつぶやきから 2011-04-30
[詳細は「タカ派の画像診断医」へ)
↑
はてなダイアリーへ
★ 「タカ派の画像診断医」の限定公開制について
↑
閲覧登録はこちらへ
只今の登録人数:50人
以下は登録しなくても見ることが可能です。
★ タカ派の画像診断医(ホームページ)
★ 学会・研究会カレンダー(画像診断関連)
★ リンク集
最近のつぶやきから
「両陛下、東北被災地を初訪問」 http://yj.pn/yswJZk #yjfc_imperial_family (皇室関連情報)
4月27日
支那情勢 チベット仏教僧侶を拘束、2人が死亡 中国 http://tinyurl.com/3lvua65
4月24日
[画像メモ]トラブルパーソンの転帰 2011-04-28
2011/04/28 19:01:50
![]()
↑
「世界一になる理由には何があるのか。2位じゃダメなんでしょうか?」
(゜Д゜)ハァ?
R4「皆様、余震に充分な備えをお願いします。落下物におきをつけください」
→「仕分けで予算削ったくせに・・・。落下物とか何を今更。落選の心配でもしてろ」
にほんブログ村
2011-04-28
[画像メモ]トラブルパーソンの転帰 2011-04-28
[詳細は「タカ派の画像診断医」へ)
↑
はてなダイアリーへ
★ 「タカ派の画像診断医」の限定公開制について
↑
閲覧登録はこちらへ
只今の登録人数:50人
以下は登録しなくても見ることが可能です。
★ タカ派の画像診断医(ホームページ)
★ 学会・研究会カレンダー(画像診断関連)
★ リンク集
[画像診断]小児の肘、骨化核出現時期について、3D-CT(VR表示) 2011-04-27
2011/04/27 22:02:39
![]()
↑
「世界一になる理由には何があるのか。2位じゃダメなんでしょうか?」
(゜Д゜)ハァ?
R4「皆様、余震に充分な備えをお願いします。落下物におきをつけください」
→「仕分けで予算削ったくせに・・・。落下物とか何を今更。落選の心配でもしてろ」
にほんブログ村
2011-04-27
[画像診断]小児の肘、骨化核出現時期について、3D-CT(VR表示) 2011-04-27
[詳細は「タカ派の画像診断医」へ)
↑
はてなダイアリーへ
★ 「タカ派の画像診断医」の限定公開制について
↑
閲覧登録はこちらへ
只今の登録人数:50人
以下は登録しなくても見ることが可能です。
★ タカ派の画像診断医(ホームページ)
★ 学会・研究会カレンダー(画像診断関連)
★ リンク集
[画像診断]膿胸関連悪性リンパ腫、画像所見について 2011-04-26
2011/04/26 22:15:47
![]()
↑
「世界一になる理由には何があるのか。2位じゃダメなんでしょうか?」
(゜Д゜)ハァ?
R4「皆様、余震に充分な備えをお願いします。落下物におきをつけください」
→「仕分けで予算削ったくせに・・・。落下物とか何を今更。落選の心配でもしてろ」
にほんブログ村
2011-04-26
[画像診断]膿胸関連悪性リンパ腫、画像所見について 2011-04-26
[詳細は「タカ派の画像診断医」へ)
↑
はてなダイアリーへ
★ 「タカ派の画像診断医」の限定公開制について
↑
閲覧登録はこちらへ
只今の登録人数:50人
以下は登録しなくても見ることが可能です。
★ タカ派の画像診断医(ホームページ)
★ 学会・研究会カレンダー(画像診断関連)
★ リンク集
[画像診断]サーベル鞘気管(saber-sheath trachea)について 【後期研修医と学ぶ】 2011-04-25
2011/04/25 22:10:49
![]()
↑
「世界一になる理由には何があるのか。2位じゃダメなんでしょうか?」
(゜Д゜)ハァ?
R4「皆様、余震に充分な備えをお願いします。落下物におきをつけください」
→「仕分けで予算削ったくせに・・・。落下物とか何を今更。落選の心配でもしてろ」
にほんブログ村
2011-04-25
[画像診断]サーベル鞘気管(saber-sheath trachea)について 【後期研修医と学ぶ】 2011-04-25
[詳細は「タカ派の画像診断医」へ)
↑
はてなダイアリーへ
★ 「タカ派の画像診断医」の限定公開制について
↑
閲覧登録はこちらへ
只今の登録人数:50人
以下は登録しなくても見ることが可能です。
★ タカ派の画像診断医(ホームページ)
★ 学会・研究会カレンダー(画像診断関連)
★ リンク集
[日々の出来事]4月中旬の主な出来事 2011-04-24
2011/04/24 14:44:52
![]()
↑
「世界一になる理由には何があるのか。2位じゃダメなんでしょうか?」
(゜Д゜)ハァ?
R4「皆様、余震に充分な備えをお願いします。落下物におきをつけください」
→「仕分けで予算削ったくせに・・・。落下物とか何を今更。落選の心配でもしてろ」
にほんブログ村
2011-04-24
[日々の出来事]4月中旬の主な出来事 2011-04-24
[詳細は「タカ派の画像診断医」へ)
↑
はてなダイアリーへ
★ 「タカ派の画像診断医」の限定公開制について
↑
閲覧登録はこちらへ
只今の登録人数:50人
以下は登録しなくても見ることが可能です。
★ タカ派の画像診断医(ホームページ)
★ 学会・研究会カレンダー(画像診断関連)
★ リンク集
4月中旬の主な出来事
昭和16年4月13日 日ソ中立条約調印
慶応3年4月14日 長州藩士高杉晋作29歳没
昭和13年4月18日 傷兵保護院開設
昭和17年4月18日 米軍機B25、東京・名古屋など本土初空襲
昭和18年4月18日 山本五十六聯合艦隊司令長官、ソロモン群島上空で機上戦死
明治37年4月21日 軍事探偵横川省三・沖禎介、ロシア軍によりハルビンで銃殺
[時事]最近のつぶやきから(地震関連など) 2011-04-23
2011/04/23 23:59:16
![]()
↑
「世界一になる理由には何があるのか。2位じゃダメなんでしょうか?」
(゜Д゜)ハァ?
R4「皆様、余震に充分な備えをお願いします。落下物におきをつけください」
→「仕分けで予算削ったくせに・・・。落下物とか何を今更。落選の心配でもしてろ」
にほんブログ村
2011-04-23
[時事]最近のつぶやきから(地震関連など) 2011-04-23
[詳細は「タカ派の画像診断医」へ)
↑
はてなダイアリーへ
★ 「タカ派の画像診断医」の限定公開制について
↑
閲覧登録はこちらへ
只今の登録人数:50人
以下は登録しなくても見ることが可能です。
★ タカ派の画像診断医(ホームページ)
★ 学会・研究会カレンダー(画像診断関連)
★ リンク集
最近のつぶやきから(地震関連など)
「両陛下が北茨城市を訪問」 http://yj.pn/yswJZk #yjfc_imperial_family (皇室関連情報)
Apr22日
「Flux Capacitor」【iPhoneアプリ】 デロリアン タイムサーキット http://bit.ly/gkmizO
Apr22日
バカじゃないの? つくばの役人って! 【放射能漏れ】つくば市が福島からの転入者に放射線検査要求 苦情受け、「今後はしない」 - MSN産経ニュース http://t.co/icIuDPg
Apr19日
ロスケは来なくてよいぞ 島を返してから来い 【放射能漏れ】ロシア外務省、日本への渡航自粛勧告解除 東京などの測定値が正常で - MSN産経ニュース http://t.co/PGRGvKI
Apr19日
何故、鯨を食うのはダメで、犬は良いのか? どちらも「文化」だろ。 食用犬520匹の搬送阻止 中国愛犬家ら150万円で買い取る - MSN産経ニュース http://t.co/6b2LaDQ
Apr19日
「批判は一方的過ぎる」 【放射能漏れ】韓・露「汚染水放出」説明会を欠席 事前通告聞き逃す - MSN産経ニュース http://t.co/AqPsVGn
Apr18日
東京電力 天下り退任勧告 青山やすし、林 貞行、小宮山 宏、石田 徹 | JC-NET(ジェイシーネット) http://t.co/EPdAEps
Apr17日
何じゃこりゃ? → 第20回地球環境大賞「東京電力株式会社」 - MSN産経ニュース http://t.co/O61WsI2
Apr17日
谷川岳で雪崩 東京の登山客ら4人けが - MSN産経ニュース http://t.co/P9PjKwf
Apr17日
[日々の出来事]新人技師歓迎会 2011-04-22
2011/04/23 00:51:45
![]()
↑
「世界一になる理由には何があるのか。2位じゃダメなんでしょうか?」
(゜Д゜)ハァ?
R4「皆様、余震に充分な備えをお願いします。落下物におきをつけください」
→「仕分けで予算削ったくせに・・・。落下物とか何を今更。落選の心配でもしてろ」
にほんブログ村
2011-04-22
[日々の出来事]新人技師歓迎会 2011-04-22
[詳細は「タカ派の画像診断医」へ)
↑
はてなダイアリーへ
★ 「タカ派の画像診断医」の限定公開制について
↑
閲覧登録はこちらへ
只今の登録人数:50人
以下は登録しなくても見ることが可能です。
★ タカ派の画像診断医(ホームページ)
★ 学会・研究会カレンダー(画像診断関連)
★ リンク集

