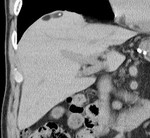
[画像メモ]胃癌、リンパ節転移(N因子)のCT診断について 2011-05-27
2011/05/27 23:31:09
![]()
↑
「世界一になる理由には何があるのか。2位じゃダメなんでしょうか?」
(゜Д゜)ハァ?
R4「皆様、余震に充分な備えをお願いします。落下物におきをつけください」
→「仕分けで予算削ったくせに・・・。落下物とか何を今更。落選の心配でもしてろ」
にほんブログ村
2011-05-27
[画像メモ]胃癌、リンパ節転移(N因子)のCT診断について 2011-05-27
詳細は「タカ派の画像診断医」へ)
↑
はてなダイアリーへ
★ 「タカ派の画像診断医」の限定公開制について
↑
閲覧登録はこちらへ
只今の登録人数:51人
以下は登録しなくても見ることが可能です。
★ タカ派の画像診断医(ホームページ)
★ 学会・研究会カレンダー(画像診断関連)
★ リンク集
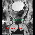
[画像診断]外科的肛門縁(Herrmann line)について 2011-05-26
2011/05/26 23:53:07
![]()
↑
「世界一になる理由には何があるのか。2位じゃダメなんでしょうか?」
(゜Д゜)ハァ?
R4「皆様、余震に充分な備えをお願いします。落下物におきをつけください」
→「仕分けで予算削ったくせに・・・。落下物とか何を今更。落選の心配でもしてろ」
にほんブログ村
2011-05-26
[画像診断]外科的肛門縁(Herrmann line)について 2011-05-26
詳細は「タカ派の画像診断医」へ)
↑
はてなダイアリーへ
★ 「タカ派の画像診断医」の限定公開制について
↑
閲覧登録はこちらへ
只今の登録人数:51人
以下は登録しなくても見ることが可能です。
★ タカ派の画像診断医(ホームページ)
★ 学会・研究会カレンダー(画像診断関連)
★ リンク集
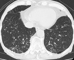
[画像診断]様々な背景における肺炎の起炎菌について 2011-05-25
2011/05/25 22:11:25
![]()
↑
「世界一になる理由には何があるのか。2位じゃダメなんでしょうか?」
(゜Д゜)ハァ?
R4「皆様、余震に充分な備えをお願いします。落下物におきをつけください」
→「仕分けで予算削ったくせに・・・。落下物とか何を今更。落選の心配でもしてろ」
にほんブログ村
2011-05-25
[画像診断]様々な背景における肺炎の起炎菌について 2011-05-25
詳細は「タカ派の画像診断医」へ)
↑
はてなダイアリーへ
★ 「タカ派の画像診断医」の限定公開制について
↑
閲覧登録はこちらへ
只今の登録人数:51人
以下は登録しなくても見ることが可能です。
★ タカ派の画像診断医(ホームページ)
★ 学会・研究会カレンダー(画像診断関連)
★ リンク集
[画像診断]肝偽脂肪腫の画像所見について 2011-05-23
2011/05/23 23:04:18
![]()
↑
「世界一になる理由には何があるのか。2位じゃダメなんでしょうか?」
(゜Д゜)ハァ?
R4「皆様、余震に充分な備えをお願いします。落下物におきをつけください」
→「仕分けで予算削ったくせに・・・。落下物とか何を今更。落選の心配でもしてろ」
にほんブログ村
2011-05-23
[画像診断]肝偽脂肪腫の画像所見について 2011-05-23
詳細は「タカ派の画像診断医」へ)
↑
はてなダイアリーへ
★ 「タカ派の画像診断医」の限定公開制について
↑
閲覧登録はこちらへ
只今の登録人数:50人
以下は登録しなくても見ることが可能です。
★ タカ派の画像診断医(ホームページ)
★ 学会・研究会カレンダー(画像診断関連)
★ リンク集
[時事]最近のつぶやきから 2011-05-22
2011/05/22 08:08:41
![]()
↑
「世界一になる理由には何があるのか。2位じゃダメなんでしょうか?」
(゜Д゜)ハァ?
R4「皆様、余震に充分な備えをお願いします。落下物におきをつけください」
→「仕分けで予算削ったくせに・・・。落下物とか何を今更。落選の心配でもしてろ」
にほんブログ村
2011-05-22
[時事]最近のつぶやきから 2011-05-22
詳細は「タカ派の画像診断医」へ)
↑
はてなダイアリーへ
★ 「タカ派の画像診断医」の限定公開制について
↑
閲覧登録はこちらへ
只今の登録人数:50人
以下は登録しなくても見ることが可能です。
★ タカ派の画像診断医(ホームページ)
★ 学会・研究会カレンダー(画像診断関連)
★ リンク集
最近のつぶやきから
チベット、ウイグルの為に歌ってほしい。→ 温首相、SMAPと面会 9月に北京で公演を歓迎(詳報) - MSN産経ニュース http://t.co/qf8V6D7
5月22日
自民時代・・大臣が額に絆創膏を貼っただけでマスコミ総バッシングで辞任。民主時代・・総理が外国人から違法献金を受けているのにほとんどバッシングしないマスコミの不思議。誘導されるまま… (cont) http://deck.ly/~3qxEh
5月21日
尖閣や沖ノ鳥島を脅かす支那と、竹島を侵略し北方領土を露領とみなす韓国。対する"菅"がこれらの首脳に領土問題を言及しないのは売国確信犯か? <東日本大震災>日中韓首脳が福島入り http://bit.ly/j0GaXI
5月21日
現時点での送金は確認されていない。宣伝行為だったのか?」 被災者の心情複雑、ソフトバンク孫正義と義捐金 スポットライト http://t.co/SHO0G2d
5月21日
菅直人が在日韓国人から違法献金を受けていた問題を忘るべからず。これ以上悪足掻きするべきでない。【主張】首相献金告発 許されぬ違法行為の放置 - MSN産経ニュース http://t.co/Ki5o3Wi
5月21日
iPad2生産工場で爆発事故、2人死亡=研磨クズが要因か―四川省成都市 (Record China)http://nifty.jp/inqRKN
10時間前 お気に入り 返信 削除 »
5月21日
この際、総理も一緒に日本国から出て行ってほしい。「事務方は出て行け」=自民・佐藤正久氏 http://bit.ly/ikx7ic
5月21日
産経ェ…。RT @dongyingwenren: 産経記者の感受性、読解力、そして創作能力 - 新小児科医のつぶやき http://htn.to/bHSCAs これはひどい……一方で、イオキベ先生の元発言の白村江に関係する部分が普通に面白かった。そーなんだよなあ
5月21日
徹底的にやって欲しい。 「谷垣氏 海水注入中断を追及へ」 http://yj.pn/twDlF1 #yjfc_politics (政局)
5月21日
今日明日、JR岡山駅前東口広場で「東日本大震災支援観光物産展」開かれています。ほうれん草にトマト、椎茸。盛岡冷麺に喜多方ラーメン、牛タンなどなど。ちょっと覗いて来ました。賑わっています。東日本の応援しっかりやろう。同時に地元岡山の物産も大事にしよう。
5月21日
『・アメリカが「竹島は日本領」と1951年に韓国へ通知していた証拠 ~ラスク書簡より~』 http://amba.to/e9c7w0
5月2日 お気に入り リツイートの取消 返信 »
昨日(5/20)のNHKニュース9で放送していた。自衛隊の活躍ぶりをNHKが長時間報道するなんて珍しい! 良い事だ。 「陸自ヘリ部隊 原発へ放水語る」 http://yj.pn/bvDkf5 #yjfc_defence_policy (防衛)
5月21日
首脳会談を延期すべきだ。【主張】韓国議員が国後へ 首脳会談で明確な抗議を - MSN産経ニュース http://t.co/nwJjGsn
5月21日
もうそろそろ、総理をお辞めいただきましょう。「首相意向で海水注入一時中断」 http://yj.pn/kcULvO #yjfc_fukushima_nuclear_plant (福島第1原発事故)
5月21日
在韓大使を召還せよ! 「韓国議員が北方領土を訪問へ」 http://yj.pn/M-VByz #yjfc_northern_territories (北方領土問題)
5月20日
共同ニュースで、韓国の国会議員が22日、北方領土・国後島を初めて訪問。ロシアによる実効支配状況の視察が目的とのこと。22日は韓国大統領が訪日中、日本がなめられている。絶対に許せないが、民主党政権による外交はここまで我が国を窮地に追いやっている。#JNSC #takeshima
5月19日
放射線診断専門医が関わる施設の画像診断検査料を上げ、逆に関わっていない施設の検査料を大幅に下げるべきだ。同じCTやMRIの装置でも、画像の質に雲泥の差あり!
5月19日
画像診断管理加算2・・・肉体的に厳しい・・・
5月19日
最近、仕事が辛いな・・・
5月19日
当たり前の事だ! 「橋下氏 国歌で起立せずは免職」 http://yj.pn/G_A2jU #yjfc_hinomaru_kimigayo (日の丸・君が代)
5月17日
「北方領土訪問 ロシアに抗議」 http://yj.pn/M-VByz #yjfc_northern_territories (北方領土問題)
5月16日
今日5月15日は昭和7年、青年将校の凶弾に倒れた犬養木堂首相の命日です。岡山市川入の生家にほど近いお墓にお参りしました。郷土岡山の偉大な先人、犬養首相の墓前に被災地の復興、日本の再生を誓いました。 http://t.co/aW0BtF0
5月15日
上原さん自殺で「原因はAさん」Twitterデマ情報 #entertainment #niftynews http://t.co/iAM5hot via @niftynews
5月15日
支那の侵略に注意! 東日本大震災:福島第1原発事故 中国、沖ノ鳥島海域で海洋調査へ--環境名目 - 毎日jp(毎日新聞) http://t.co/wqIWmvQ via @mainichijpnews
5月15日
日本の顧客データを韓国に流したり、民主党の小沢、原口と子供に反日洗脳する義務教育コンテンツ配信を裏で進めています。100億円?まだ払っていませんよ孫正義は、言っただけです。
5月15日
「IMF専務理事 性的暴行で逮捕」 http://yj.pn/1zH65b #yjfc_international_monetary_fund (国際通貨基金(IMF))
5月15日
松本外相は質問に答えず逃げた!【中国大使館の土地落札問題】。全国のtwitterの「意識調査」。「日本の領土を中国共産党に自由に売却は許さない!」の支持リツイ―トが現在379人に増加。小野寺議員の「事前同意はあったのですか?」の質問に答えず。政府・外務省の事前同意のない条約違反!
5月15日
【放射能漏れ】メガフロートが福島へ発進…釣り場から転身 5月下旬到着 - MSN産経ニュース http://t.co/3OV5KkD
5月15日
大震災などどこ吹く風か、今の亡国売国日本政府の足元を見られ、ロスケによる不法侵略の正当化は着々と進行している。→ ロシア副首相が北方領土訪問 震災後初の要人、4閣僚も - MSN産経ニュース http://t.co/y0pn2Ni
5月15日
壊し屋「小沢」の本領発揮 こんな奴らに投票するのは最初から止めるべしReading:NHKニュース 内閣不信任案賛成を働きかけ http://nhk.jp/N3vh6fV5
5月15日
〇皇太子「殿下」←×皇太子「さま」 東日本大震災:皇太子さまが見舞い - 毎日jp(毎日新聞) http://t.co/Ofyj4le via @mainichijpnews
5月15日
R4、もう辞めてほしい。要らない大臣を増やすことは、認証式を行われる天皇陛下のご負担が増えるだけである。 → 存在感ない蓮舫節電担当相 首相の思いつき人事の犠牲者説も - MSN産経ニュース http://t.co/gaqDzLZ
5月14日
宇宙服のように、冷却機能が付いた装備にできないものか? 「原発作業員死亡 搬送に2時間」 http://yj.pn/xG1VNJ #yjfc_first_aid (救急救命)
5月14日
[画像メモ]日本医学放射線学会、日本核医学会の各種専門医、認定医の更新締切、迫る 2011-05-21
2011/05/21 23:05:31
![]()
↑
「世界一になる理由には何があるのか。2位じゃダメなんでしょうか?」
(゜Д゜)ハァ?
R4「皆様、余震に充分な備えをお願いします。落下物におきをつけください」
→「仕分けで予算削ったくせに・・・。落下物とか何を今更。落選の心配でもしてろ」
にほんブログ村
2011-05-21
[画像メモ]日本医学放射線学会、日本核医学会の各種専門医、認定医の更新締切、迫る 2011-05-21
詳細は「タカ派の画像診断医」へ)
↑
はてなダイアリーへ
★ 「タカ派の画像診断医」の限定公開制について
↑
閲覧登録はこちらへ
只今の登録人数:50人
以下は登録しなくても見ることが可能です。
★ タカ派の画像診断医(ホームページ)
★ 学会・研究会カレンダー(画像診断関連)
★ リンク集
[日々の出来事]かなり多忙のため休み、二日目 2011-05-20
2011/05/20 23:24:38
![]()
↑
「世界一になる理由には何があるのか。2位じゃダメなんでしょうか?」
(゜Д゜)ハァ?
R4「皆様、余震に充分な備えをお願いします。落下物におきをつけください」
→「仕分けで予算削ったくせに・・・。落下物とか何を今更。落選の心配でもしてろ」
にほんブログ村
2011-05-20
[日々の出来事]かなり多忙のため休み、二日目 2011-05-20
詳細は「タカ派の画像診断医」へ)
↑
はてなダイアリーへ
★ 「タカ派の画像診断医」の限定公開制について
↑
閲覧登録はこちらへ
只今の登録人数:50人
以下は登録しなくても見ることが可能です。
★ タカ派の画像診断医(ホームページ)
★ 学会・研究会カレンダー(画像診断関連)
★ リンク集
[画像メモ]つつが虫病の画像所見について 2011-05-18
2011/05/18 22:23:43
![]()
↑
「世界一になる理由には何があるのか。2位じゃダメなんでしょうか?」
(゜Д゜)ハァ?
R4「皆様、余震に充分な備えをお願いします。落下物におきをつけください」
→「仕分けで予算削ったくせに・・・。落下物とか何を今更。落選の心配でもしてろ」
にほんブログ村
2011-05-18
[画像メモ]つつが虫病の画像所見について 2011-05-18
詳細は「タカ派の画像診断医」へ)
↑
はてなダイアリーへ
★ 「タカ派の画像診断医」の限定公開制について
↑
閲覧登録はこちらへ
只今の登録人数:50人
以下は登録しなくても見ることが可能です。
★ タカ派の画像診断医(ホームページ)
★ 学会・研究会カレンダー(画像診断関連)
★ リンク集
[画像メモ]リケッチア感染症とリケッチア肺炎について 2011-05-17
2011/05/17 23:47:00
![]()
↑
「世界一になる理由には何があるのか。2位じゃダメなんでしょうか?」
(゜Д゜)ハァ?
R4「皆様、余震に充分な備えをお願いします。落下物におきをつけください」
→「仕分けで予算削ったくせに・・・。落下物とか何を今更。落選の心配でもしてろ」
にほんブログ村
2011-05-17
[画像メモ]リケッチア感染症とリケッチア肺炎について 2011-05-17
詳細は「タカ派の画像診断医」へ)
↑
はてなダイアリーへ
★ 「タカ派の画像診断医」の限定公開制について
↑
閲覧登録はこちらへ
只今の登録人数:50人
以下は登録しなくても見ることが可能です。
★ タカ派の画像診断医(ホームページ)
★ 学会・研究会カレンダー(画像診断関連)
★ リンク集
[日々の出来事]医師に向いていない「医師」について(仮定) 2011-05-16
2011/05/16 21:14:53
![]()
↑
「世界一になる理由には何があるのか。2位じゃダメなんでしょうか?」
(゜Д゜)ハァ?
R4「皆様、余震に充分な備えをお願いします。落下物におきをつけください」
→「仕分けで予算削ったくせに・・・。落下物とか何を今更。落選の心配でもしてろ」
にほんブログ村
2011-05-16
[日々の出来事]医師に向いていない「医師」について(仮定) 2011-05-16
詳細は「タカ派の画像診断医」へ)
↑
はてなダイアリーへ
★ 「タカ派の画像診断医」の限定公開制について
↑
閲覧登録はこちらへ
只今の登録人数:50人
以下は登録しなくても見ることが可能です。
★ タカ派の画像診断医(ホームページ)
★ 学会・研究会カレンダー(画像診断関連)
★ リンク集

