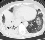
[Weekly Chest Cases]中心に低吸収域を含むリンパ節腫大 2011-07-12
2011/07/12 22:19:12
![]()
↑
「世界一になる理由には何があるのか。2位じゃダメなんでしょうか?」
(゜Д゜)ハァ?
R4「皆様、余震に充分な備えをお願いします。落下物におきをつけください」
→「仕分けで予算削ったくせに・・・。落下物とか何を今更。落選の心配でもしてろ」
にほんブログ村
2011-07-12
[Weekly Chest Cases]中心に低吸収域を含むリンパ節腫大 2011-07-12
詳細は「タカ派の画像診断医」へ)
↑
はてなダイアリーへ
★ 「タカ派の画像診断医」の限定公開制について
↑
閲覧登録はこちらへ
只今の登録人数:55人
以下は登録しなくても見ることが可能です。
★ タカ派の画像診断医(ホームページ)
★ 学会・研究会カレンダー(画像診断関連)
★ リンク集
[画像診断]肺血流シンチグラフィ(99mTc-MAA)における肺血栓塞栓症と肺高血圧症について 2011-07-11
2011/07/11 22:01:37
![]()
↑
「世界一になる理由には何があるのか。2位じゃダメなんでしょうか?」
(゜Д゜)ハァ?
R4「皆様、余震に充分な備えをお願いします。落下物におきをつけください」
→「仕分けで予算削ったくせに・・・。落下物とか何を今更。落選の心配でもしてろ」
にほんブログ村
2011-07-11
[画像診断]肺血流シンチグラフィ(99mTc-MAA)における肺血栓塞栓症と肺高血圧症について 2011-07-11
詳細は「タカ派の画像診断医」へ)
↑
はてなダイアリーへ
★ 「タカ派の画像診断医」の限定公開制について
↑
閲覧登録はこちらへ
只今の登録人数:55人
以下は登録しなくても見ることが可能です。
★ タカ派の画像診断医(ホームページ)
★ 学会・研究会カレンダー(画像診断関連)
★ リンク集
[画像メモ]flat-panel detector(フラットパネル検出器;FPD)を用いたdual-energy subtraction system(デュアルエネルギーサブトラクションシステム)における胸部単純X線写真について (2) 2011-07-08
2011/07/09 00:19:13
![]()
↑
「世界一になる理由には何があるのか。2位じゃダメなんでしょうか?」
(゜Д゜)ハァ?
R4「皆様、余震に充分な備えをお願いします。落下物におきをつけください」
→「仕分けで予算削ったくせに・・・。落下物とか何を今更。落選の心配でもしてろ」
にほんブログ村
2011-07-08
[画像メモ]flat-panel detector(フラットパネル検出器;FPD)を用いたdual-energy subtraction system(デュアルエネルギーサブトラクションシステム)における胸部単純X線写真について (2) 2011-07-08
詳細は「タカ派の画像診断医」へ)
↑
はてなダイアリーへ
★ 「タカ派の画像診断医」の限定公開制について
↑
閲覧登録はこちらへ
只今の登録人数:55人
以下は登録しなくても見ることが可能です。
★ タカ派の画像診断医(ホームページ)
★ 学会・研究会カレンダー(画像診断関連)
★ リンク集
[画像メモ]flat-panel detector(フラットパネル検出器;FPD)を用いたdual-energy subtraction system(デュアルエネルギーサブトラクションシステム)における胸部単純X線写真について (1) 2011-07-07
2011/07/07 22:08:05
![]()
↑
「世界一になる理由には何があるのか。2位じゃダメなんでしょうか?」
(゜Д゜)ハァ?
R4「皆様、余震に充分な備えをお願いします。落下物におきをつけください」
→「仕分けで予算削ったくせに・・・。落下物とか何を今更。落選の心配でもしてろ」
にほんブログ村
2011-07-07
[画像メモ]flat-panel detector(フラットパネル検出器;FPD)を用いたdual-energy subtraction system(デュアルエネルギーサブトラクションシステム)における胸部単純X線写真について (1) 2011-07-07
詳細は「タカ派の画像診断医」へ)
↑
はてなダイアリーへ
★ 「タカ派の画像診断医」の限定公開制について
↑
閲覧登録はこちらへ
只今の登録人数:55人
以下は登録しなくても見ることが可能です。
★ タカ派の画像診断医(ホームページ)
★ 学会・研究会カレンダー(画像診断関連)
★ リンク集
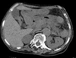
[画像診断]壊死性膵炎のCT所見、読影における注意点について(特に内部ガス) 2011-07-06
2011/07/06 21:39:41
![]()
↑
「世界一になる理由には何があるのか。2位じゃダメなんでしょうか?」
(゜Д゜)ハァ?
R4「皆様、余震に充分な備えをお願いします。落下物におきをつけください」
→「仕分けで予算削ったくせに・・・。落下物とか何を今更。落選の心配でもしてろ」
にほんブログ村
2011-07-06
[画像診断]壊死性膵炎のCT所見、読影における注意点について(特に内部ガス) 2011-07-06
詳細は「タカ派の画像診断医」へ)
↑
はてなダイアリーへ
★ 「タカ派の画像診断医」の限定公開制について
↑
閲覧登録はこちらへ
只今の登録人数:55人
以下は登録しなくても見ることが可能です。
★ タカ派の画像診断医(ホームページ)
★ 学会・研究会カレンダー(画像診断関連)
★ リンク集
[画像メモ]burned-out testicular tumorについて<悪性精巣腫瘍の周辺知識> 2011-07-05
2011/07/05 22:20:32
![]()
↑
「世界一になる理由には何があるのか。2位じゃダメなんでしょうか?」
(゜Д゜)ハァ?
R4「皆様、余震に充分な備えをお願いします。落下物におきをつけください」
→「仕分けで予算削ったくせに・・・。落下物とか何を今更。落選の心配でもしてろ」
にほんブログ村
2011-07-05
[画像メモ]burned-out testicular tumorについて<悪性精巣腫瘍の周辺知識> 2011-07-05
詳細は「タカ派の画像診断医」へ)
↑
はてなダイアリーへ
★ 「タカ派の画像診断医」の限定公開制について
↑
閲覧登録はこちらへ
只今の登録人数:55人
以下は登録しなくても見ることが可能です。
★ タカ派の画像診断医(ホームページ)
★ 学会・研究会カレンダー(画像診断関連)
★ リンク集
[Weekly Chest Cases]結節性硬化症の肺病変 2011-07-04
2011/07/04 21:51:10
![]()
↑
「世界一になる理由には何があるのか。2位じゃダメなんでしょうか?」
(゜Д゜)ハァ?
R4「皆様、余震に充分な備えをお願いします。落下物におきをつけください」
→「仕分けで予算削ったくせに・・・。落下物とか何を今更。落選の心配でもしてろ」
にほんブログ村
2011-07-04
[Weekly Chest Cases]結節性硬化症の肺病変 2011-07-04
詳細は「タカ派の画像診断医」へ)
↑
はてなダイアリーへ
★ 「タカ派の画像診断医」の限定公開制について
↑
閲覧登録はこちらへ
只今の登録人数:55人
以下は登録しなくても見ることが可能です。
★ タカ派の画像診断医(ホームページ)
★ 学会・研究会カレンダー(画像診断関連)
★ リンク集
[画像診断]「腱鞘炎」の一般的事項、MRI所見について 2011-07-01
2011/07/01 23:03:49
![]()
↑
「世界一になる理由には何があるのか。2位じゃダメなんでしょうか?」
(゜Д゜)ハァ?
R4「皆様、余震に充分な備えをお願いします。落下物におきをつけください」
→「仕分けで予算削ったくせに・・・。落下物とか何を今更。落選の心配でもしてろ」
にほんブログ村
2011-07-01
[画像診断]「腱鞘炎」の一般的事項、MRI所見について 2011-07-01
詳細は「タカ派の画像診断医」へ)
↑
はてなダイアリーへ
★ 「タカ派の画像診断医」の限定公開制について
↑
閲覧登録はこちらへ
只今の登録人数:55人
以下は登録しなくても見ることが可能です。
★ タカ派の画像診断医(ホームページ)
★ 学会・研究会カレンダー(画像診断関連)
★ リンク集
[画像診断]肺腺癌における内部の空洞様所見について 2011-06-30
2011/06/30 22:14:41
![]()
↑
「世界一になる理由には何があるのか。2位じゃダメなんでしょうか?」
(゜Д゜)ハァ?
R4「皆様、余震に充分な備えをお願いします。落下物におきをつけください」
→「仕分けで予算削ったくせに・・・。落下物とか何を今更。落選の心配でもしてろ」
にほんブログ村
2011-06-30
[画像診断]肺腺癌における内部の空洞様所見について 2011-06-30
詳細は「タカ派の画像診断医」へ)
↑
はてなダイアリーへ
★ 「タカ派の画像診断医」の限定公開制について
↑
閲覧登録はこちらへ
只今の登録人数:55人
以下は登録しなくても見ることが可能です。
★ タカ派の画像診断医(ホームページ)
★ 学会・研究会カレンダー(画像診断関連)
★ リンク集
[画像診断]嚢胞を伴う腎癌について 2011-06-29
2011/06/29 22:39:25
![]()
↑
「世界一になる理由には何があるのか。2位じゃダメなんでしょうか?」
(゜Д゜)ハァ?
R4「皆様、余震に充分な備えをお願いします。落下物におきをつけください」
→「仕分けで予算削ったくせに・・・。落下物とか何を今更。落選の心配でもしてろ」
にほんブログ村
2011-06-29
[画像診断]嚢胞を伴う腎癌について 2011-06-29
詳細は「タカ派の画像診断医」へ)
↑
はてなダイアリーへ
★ 「タカ派の画像診断医」の限定公開制について
↑
閲覧登録はこちらへ
只今の登録人数:55人
以下は登録しなくても見ることが可能です。
★ タカ派の画像診断医(ホームページ)
★ 学会・研究会カレンダー(画像診断関連)
★ リンク集

